QPRT antibody [1C10]

Cat. No. GTX83743
Cat. No.  GTX83743
Anti-QPRT antibody [1C10] used in Western Blot (WB). GTX83743
GTX83743 WB Image

WB analysis of various cell lines using GTX83743 QPRT antibody [1C10].
Loading : 35 ug per lane

1 / 13
Anti-QPRT antibody [1C10] used in Western Blot (WB). GTX83743
GTX83743 WB Image

WB analysis of HEK293T cells transfected with QPRT plasmid (Right) or empty vector (Left) for 48 hrs using GTX83743 QPRT antibody [1C10].
Loading : 5 ug per lane

2 / 13
Anti-QPRT antibody [1C10] used in Flow cytometry (FCM). GTX83743
GTX83743 FCM Image

FACS analysis of HEK293T cells transfected with either QPRT plasmid(Red) or empty vector control plasmid(Blue) using GTX83743 QPRT antibody [1C10].

3 / 13
Anti-QPRT antibody [1C10] used in IHC (Paraffin sections) (IHC-P). GTX83743
GTX83743 IHC-P Image

IHC-P analysis of human kidney carcinoma tissue using GTX83743 QPRT antibody [1C10].
Antigen retrieval : Heat-induced epitope retrieval by 10mM citrate buffer, pH6.0, 100ºC for 10min.

4 / 13
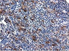
Anti-QPRT antibody [1C10] used in IHC (Paraffin sections) (IHC-P). GTX83743
GTX83743 IHC-P Image

IHC-P analysis of human lymphoma tissue using GTX83743 QPRT antibody [1C10].
Antigen retrieval : Heat-induced epitope retrieval by 10mM citrate buffer, pH6.0, 100ºC for 10min.

5 / 13
Anti-QPRT antibody [1C10] used in IHC (Paraffin sections) (IHC-P). GTX83743
GTX83743 IHC-P Image

IHC-P analysis of human lymph node tissue using GTX83743 QPRT antibody [1C10].
Antigen retrieval : Heat-induced epitope retrieval by 10mM citrate buffer, pH6.0, 100ºC for 10min.

6 / 13
Anti-QPRT antibody [1C10] used in IHC (Paraffin sections) (IHC-P). GTX83743
GTX83743 IHC-P Image

IHC-P analysis of human prostate carcinoma tissue using GTX83743 QPRT antibody [1C10].
Antigen retrieval : Heat-induced epitope retrieval by 10mM citrate buffer, pH6.0, 100ºC for 10min.

7 / 13
Anti-QPRT antibody [1C10] used in IHC (Paraffin sections) (IHC-P). GTX83743
GTX83743 IHC-P Image

IHC-P analysis of human bladder carcinoma tissue using GTX83743 QPRT antibody [1C10].
Antigen retrieval : Heat-induced epitope retrieval by 10mM citrate buffer, pH6.0, 100ºC for 10min.

8 / 13
Anti-QPRT antibody [1C10] used in Immunocytochemistry/ Immunofluorescence (ICC/IF). GTX83743
GTX83743 ICC/IF Image

ICC/IF analysis of COS7 cells transiently transfected with QPRT plasmid using GTX83743 QPRT antibody [1C10].

9 / 13
Anti-QPRT antibody [1C10] used in IHC (Paraffin sections) (IHC-P). GTX83743
GTX83743 IHC-P Image

IHC-P analysis of human liver tissue using GTX83743 QPRT antibody [1C10].
Antigen retrieval : Heat-induced epitope retrieval by 10mM citrate buffer, pH6.0, 100ºC for 10min.

10 / 13
Anti-QPRT antibody [1C10] used in IHC (Paraffin sections) (IHC-P). GTX83743
GTX83743 IHC-P Image

IHC-P analysis of human prostate tissue using GTX83743 QPRT antibody [1C10].
Antigen retrieval : Heat-induced epitope retrieval by 10mM citrate buffer, pH6.0, 100ºC for 10min.

11 / 13
Anti-QPRT antibody [1C10] used in IHC (Paraffin sections) (IHC-P). GTX83743
GTX83743 IHC-P Image

IHC-P analysis of human endometrium tissue using GTX83743 QPRT antibody [1C10].
Antigen retrieval : Heat-induced epitope retrieval by 10mM citrate buffer, pH6.0, 100ºC for 10min.

12 / 13
Anti-QPRT antibody [1C10] used in IHC (Paraffin sections) (IHC-P). GTX83743
GTX83743 IHC-P Image

IHC-P analysis of human ovary adenocarcinoma tissue using GTX83743 QPRT antibody [1C10].
Antigen retrieval : Heat-induced epitope retrieval by 10mM citrate buffer, pH6.0, 100ºC for 10min.

13 / 13
Anti-QPRT antibody [1C10] used in Western Blot (WB). GTX83743
Anti-QPRT antibody [1C10] used in Western Blot (WB). GTX83743
Anti-QPRT antibody [1C10] used in Flow cytometry (FCM). GTX83743
Anti-QPRT antibody [1C10] used in IHC (Paraffin sections) (IHC-P). GTX83743
Anti-QPRT antibody [1C10] used in IHC (Paraffin sections) (IHC-P). GTX83743
Anti-QPRT antibody [1C10] used in IHC (Paraffin sections) (IHC-P). GTX83743
Anti-QPRT antibody [1C10] used in IHC (Paraffin sections) (IHC-P). GTX83743
Anti-QPRT antibody [1C10] used in IHC (Paraffin sections) (IHC-P). GTX83743
Anti-QPRT antibody [1C10] used in Immunocytochemistry/ Immunofluorescence (ICC/IF). GTX83743
Anti-QPRT antibody [1C10] used in IHC (Paraffin sections) (IHC-P). GTX83743
Anti-QPRT antibody [1C10] used in IHC (Paraffin sections) (IHC-P). GTX83743
Anti-QPRT antibody [1C10] used in IHC (Paraffin sections) (IHC-P). GTX83743
Anti-QPRT antibody [1C10] used in IHC (Paraffin sections) (IHC-P). GTX83743
  • Host
    Mouse
  • Clonality
    Monoclonal
  • Clone Name
    1C10
  • Isotype
    IgG1
  • Applications
    WB ICC/IF IHC-P FCM
  • Reactivity
    Human
See all QPRT products