RAB27B antibody [HL4987]

Cat. No. GTX645073
Cat. No.  GTX645073
Anti-RAB27B antibody [HL4987] used in Immunocytochemistry/ Immunofluorescence (ICC/IF). GTX645073
GTX645073 ICC/IF Image

RAB27B antibody [HL4987] detects RAB27B protein by immunofluorescent analysis.
Sample: HEL 92.1.7 cells were fixed in MeOH.
Green: RAB27B stained by RAB27B antibody [HL4987] (GTX645073) diluted at 1:100.
Blue: Fluoroshield with DAPI (GTX30920).

1 / 4
Anti-RAB27B antibody [HL4987] used in IHC (Paraffin sections) (IHC-P). GTX645073
GTX645073 IHC-P Image

RAB27B antibody [HL4987] detects RAB27B protein by immunohistochemical analysis.
Sample: Paraffin-embedded human tissues.
RAB27B stained by RAB27B antibody [HL4987] (GTX645073) diluted at 1:200.
Antigen Retrieval: Tris-EDTA buffer, pH 9.0, 15 min

2 / 4
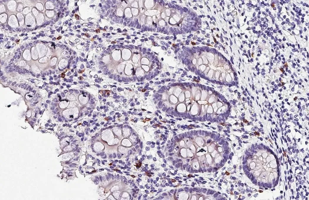
Anti-RAB27B antibody [HL4987] used in IHC (Paraffin sections) (IHC-P). GTX645073
GTX645073 IHC-P Image

RAB27B antibody [HL4987] detects RAB27B protein by immunohistochemical analysis.
Sample: Paraffin-embedded human appendix.
RAB27B stained by RAB27B antibody [HL4987] (GTX645073) diluted at 1:200.
Antigen Retrieval: Tris-EDTA buffer, pH 9.0, 15 min

3 / 4
Anti-RAB27B antibody [HL4987] used in Western Blot (WB). GTX645073
GTX645073 WB Image

Various whole cell extracts (30 μg) were separated by 12% SDS-PAGE, and the membrane was blotted with RAB27B antibody [HL4987] (GTX645073) diluted at 1:1000. The HRP-conjugated anti-rabbit IgG antibody (GTX213110-01) was used to detect the primary antibody. Corresponding RNA expression data are based on Human Protein Atlas program.

4 / 4
Anti-RAB27B antibody [HL4987] used in Immunocytochemistry/ Immunofluorescence (ICC/IF). GTX645073
Anti-RAB27B antibody [HL4987] used in IHC (Paraffin sections) (IHC-P). GTX645073
Anti-RAB27B antibody [HL4987] used in IHC (Paraffin sections) (IHC-P). GTX645073
Anti-RAB27B antibody [HL4987] used in Western Blot (WB). GTX645073
  • Host
    Rabbit
  • Clonality
    Monoclonal
  • Clone Name
    HL4987
  • Isotype
    IgG
  • Applications
    WB ICC/IF IHC-P
  • Reactivity
    Human
See all RAB27B products