RAE1 antibody, C-term

Cat. No. GTX89517
Cat. No.  GTX89517
Anti-RAE1 antibody, C-term used in Western Blot (WB). GTX89517
GTX89517 WB Image

WB analysis of HepG2 (A), HeLa (B), Jurkat (C) and MCF7 (D) lysates using GTX89517 RAE1 antibody, C-term.
Dilution : 0.1μg/ml
Loading : 35μg protein in RIPA buffer

1 / 3
Anti-RAE1 antibody, C-term used in IHC (Paraffin sections) (IHC-P). GTX89517
GTX89517 IHC-P Image

IHC-P analysis of human cortex using GTX89517 RAE1 antibody, C-term.
Antigen retrieval : citrate buffer pH 6
Dilution : 3.8μg/ml

2 / 3
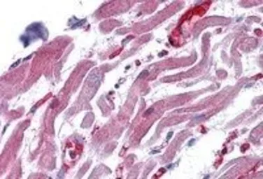
Anti-RAE1 antibody, C-term used in IHC (Paraffin sections) (IHC-P). GTX89517
GTX89517 IHC-P Image

IHC-P analysis of human heart using GTX89517 RAE1 antibody, C-term.
Antigen retrieval : citrate buffer pH 6
Dilution : 3.75μg/ml

3 / 3
Anti-RAE1 antibody, C-term used in Western Blot (WB). GTX89517
Anti-RAE1 antibody, C-term used in IHC (Paraffin sections) (IHC-P). GTX89517
Anti-RAE1 antibody, C-term used in IHC (Paraffin sections) (IHC-P). GTX89517
  • Host
    Goat
  • Clonality
    Polyclonal
  • Isotype
    IgG
  • Applications
    WB IHC-P
  • Reactivity
    Human
See all RAE1 products