RAS (G12V Mutant) antibody [HL169]

Cat. No. GTX635623
Cat. No.  GTX635623
Anti-RAS (G12V Mutant) antibody [HL169] used in Western Blot (WB). GTX635623
GTX635623 WB Image

Various whole cell extracts (30 μg) were separated by 12% SDS-PAGE, and the membrane was blotted with RAS (G12V Mutant) antibody [HL169] (GTX635623) diluted at 1:1000. The HRP-conjugated anti-rabbit IgG antibody (GTX213110-01) was used to detect the primary antibody.

1 / 4
Anti-RAS (G12V Mutant) antibody [HL169] used in Western Blot (WB). GTX635623
GTX635623 WB Image

Non-transfected (–) and transfected (+) 293T whole cell extracts (30 μg) were separated by 12% SDS-PAGE, and the membrane was blotted with Ras (G12V Mutant) antibody [HL1] (GTX635623) diluted at 1:1000. The HRP-conjugated anti-rabbit IgG antibody (GTX213110-01) was used to detect the primary antibody.

2 / 4
Anti-RAS (G12V Mutant) antibody [HL169] used in Western Blot (WB). GTX635623
GTX635623 WB Image

Various whole cell extracts (30 μg) were separated by 12% SDS-PAGE, and the membrane was blotted with Ras (G12V Mutant) antibody [HL1] (GTX635623) diluted at 1:1000. The HRP-conjugated anti-rabbit IgG antibody (GTX213110-01) was used to detect the primary antibody.

3 / 4
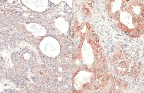
Anti-RAS (G12V Mutant) antibody [HL169] used in IHC (Paraffin sections) (IHC-P). GTX635623
GTX635623 IHC-P Image

RAS (G12V Mutant) antibody [HL169] detects RAS (G12V Mutant) protein at cell membrane and cytoplasm by immunohistochemical analysis.
Sample: Paraffin-embedded BxPC-3 xenograft (left) and CFPAC-1 xenograft (right).
RAS (G12V Mutant) stained by RAS (G12V Mutant) antibody [HL169] (GTX635623) diluted at 1:50.
Antigen Retrieval: Citrate buffer, pH 6.0, 15 min

4 / 4
Anti-RAS (G12V Mutant) antibody [HL169] used in Western Blot (WB). GTX635623
Anti-RAS (G12V Mutant) antibody [HL169] used in Western Blot (WB). GTX635623
Anti-RAS (G12V Mutant) antibody [HL169] used in Western Blot (WB). GTX635623
Anti-RAS (G12V Mutant) antibody [HL169] used in IHC (Paraffin sections) (IHC-P). GTX635623
  • Host
    Rabbit
  • Clonality
    Monoclonal
  • Clone Name
    HL169
  • Isotype
    IgG
  • Applications
    WB IHC-P
  • Reactivity
    Human
See all RAS products