RASGRF1 antibody

Cat. No. GTX87849
Cat. No.  GTX87849
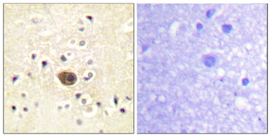
Anti-RASGRF1 antibody used in IHC (Paraffin sections) (IHC-P). GTX87849
GTX87849 IHC-P Image

IHC-P analysis of human brain tissue using GTX87849 RASGRF1 antibody. The picture on the right is blocked with the synthesized peptide.

1 / 1
Anti-RASGRF1 antibody used in IHC (Paraffin sections) (IHC-P). GTX87849
  • Host
    Rabbit
  • Clonality
    Polyclonal
  • Isotype
    IgG
  • Applications
    IHC-P
  • Reactivity
    Human
See all RASGRF1 products