RAVER1 antibody, N-term

Cat. No. GTX47224
Cat. No.  GTX47224
Anti-RAVER1 antibody, N-term used in Western Blot (WB). GTX47224
GTX47224 WB Image

WB analysis of HepG2 cells using GTX47224 RAVER1 antibody at 1.25μg/ml.
Lane A : marker
Lane B : HepG2 cells

1 / 2
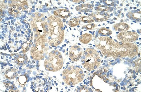
Anti-RAVER1 antibody, N-term used in IHC (Paraffin sections) (IHC-P). GTX47224
GTX47224 IHC-P Image

IHC-P analysis of human kidney tissue using GTX47224 RAVER1 antibody at 4.0-8.0μg/ml.

2 / 2
Anti-RAVER1 antibody, N-term used in Western Blot (WB). GTX47224
Anti-RAVER1 antibody, N-term used in IHC (Paraffin sections) (IHC-P). GTX47224
  • Host
    Rabbit
  • Clonality
    Polyclonal
  • Isotype
    IgG
  • Applications
    WB IHC-P
  • Reactivity
    Human
See all RAVER1 products