RBKS antibody [N1C1]

Cat. No. GTX116738
Cat. No.  GTX116738
Anti-RBKS antibody [N1C1] used in Western Blot (WB). GTX116738
GTX116738 WB Image

Sample (30 ug of whole cell lysate)
A: HCT116
10% SDS PAGE
GTX116738 diluted at 1:500

1 / 2
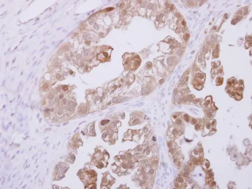
Anti-RBKS antibody [N1C1] used in IHC (Paraffin sections) (IHC-P). GTX116738
GTX116738 IHC-P Image

RBKS antibody [N1C1] detects RBKS protein at cytosol and nucleus on human ovarian carcinoma by immunohistochemical analysis.
Sample: Paraffin-embedded human ovarian carcinoma.
RBKS antibody [N1C1] (GTX116738) dilution: 1:250.

Antigen Retrieval: Trilogy™ (EDTA based, pH 8.0) buffer, 15min

2 / 2
Anti-RBKS antibody [N1C1] used in Western Blot (WB). GTX116738
Anti-RBKS antibody [N1C1] used in IHC (Paraffin sections) (IHC-P). GTX116738
  • Host
    Rabbit
  • Clonality
    Polyclonal
  • Isotype
    IgG
  • Applications
    WB IHC-P
  • Reactivity
    Human
See all RBKS products