RBM11 antibody

Cat. No. GTX66184
Cat. No.  GTX66184
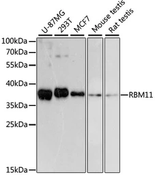
Anti-RBM11 antibody used in Western Blot (WB). GTX66184
GTX66184 WB Image

WB analysis of various sample lysates using GTX66184 RBM11 antibody.
Dilution : 1:3000
Loading : 25μg per lane

1 / 1
Anti-RBM11 antibody used in Western Blot (WB). GTX66184
  • Host
    Rabbit
  • Clonality
    Polyclonal
  • Isotype
    IgG
  • Applications
    WB
  • Reactivity
    Human, Mouse, Rat
See all RBM11 products