RBM17 antibody

Cat. No. GTX64861
Cat. No.  GTX64861
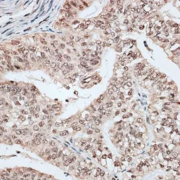
Anti-RBM17 antibody used in IHC (Paraffin sections) (IHC-P). GTX64861
GTX64861 IHC-P Image

IHC-P analysis of human endometrium cancer tissue using GTX64861 RBM17 antibody.
Dilution : 1:100

1 / 4
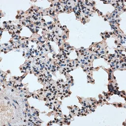
Anti-RBM17 antibody used in IHC (Paraffin sections) (IHC-P). GTX64861
GTX64861 IHC-P Image

IHC-P analysis of rat lung tissue using GTX64861 RBM17 antibody.
Dilution : 1:100

2 / 4
Anti-RBM17 antibody used in IHC (Paraffin sections) (IHC-P). GTX64861
GTX64861 IHC-P Image

IHC-P analysis of mouse spleen tissue using GTX64861 RBM17 antibody.
Dilution : 1:100

3 / 4
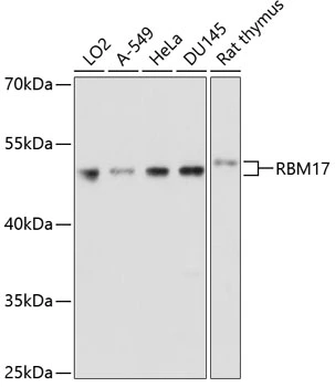
Anti-RBM17 antibody used in Western Blot (WB). GTX64861
GTX64861 WB Image

WB analysis of various sample lysates using GTX64861 RBM17 antibody.
Dilution : 1:1000
Loading : 25μg per lane

4 / 4
Anti-RBM17 antibody used in IHC (Paraffin sections) (IHC-P). GTX64861
Anti-RBM17 antibody used in IHC (Paraffin sections) (IHC-P). GTX64861
Anti-RBM17 antibody used in IHC (Paraffin sections) (IHC-P). GTX64861
Anti-RBM17 antibody used in Western Blot (WB). GTX64861
  • Host
    Rabbit
  • Clonality
    Polyclonal
  • Isotype
    IgG
  • Applications
    WB IHC-P
  • Reactivity
    Human, Mouse, Rat
See all RBM17 products