RBM34 antibody

Cat. No. GTX87094
Cat. No.  GTX87094
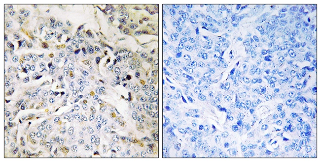
Anti-RBM34 antibody used in IHC (Paraffin sections) (IHC-P). GTX87094
GTX87094 IHC-P Image

IHC-P analysis of human breast carcinoma tissue using GTX87094 RBM34 antibody. The picture on the right is blocked with the synthesized peptide.

1 / 1
Anti-RBM34 antibody used in IHC (Paraffin sections) (IHC-P). GTX87094
  • Host
    Rabbit
  • Clonality
    Polyclonal
  • Isotype
    IgG
  • Applications
    IHC-P
  • Reactivity
    Human
See all RBM34 products