RBM38 antibody, N-term

Cat. No. GTX47297
Cat. No.  GTX47297
Anti-RBM38 antibody, N-term used in Western Blot (WB). GTX47297
GTX47297 WB Image

WB analysis of RPMI-8226 cells using GTX47297 RBM38 antibody at 0.2-1μg/ml.

1 / 3
Anti-RBM38 antibody, N-term used in Western Blot (WB). GTX47297
GTX47297 WB Image

WB analysis of A549 cells using GTX47297 RBM38 antibody at 1μg/ml.

2 / 3
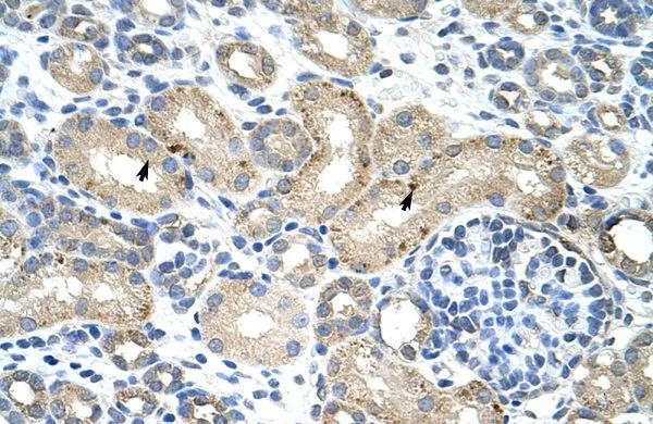
Anti-RBM38 antibody, N-term used in IHC (Paraffin sections) (IHC-P). GTX47297
GTX47297 IHC-P Image

IHC-P analysis of human kidney tissue using GTX47297 RBM38 antibody at 4.0-8.0μg/ml.

3 / 3
Anti-RBM38 antibody, N-term used in Western Blot (WB). GTX47297
Anti-RBM38 antibody, N-term used in Western Blot (WB). GTX47297
Anti-RBM38 antibody, N-term used in IHC (Paraffin sections) (IHC-P). GTX47297
  • Host
    Rabbit
  • Clonality
    Polyclonal
  • Isotype
    IgG
  • Applications
    WB IHC-P
  • Reactivity
    Human
See all RBM38 products