REV3L antibody

Cat. No. GTX02533
Cat. No.  GTX02533
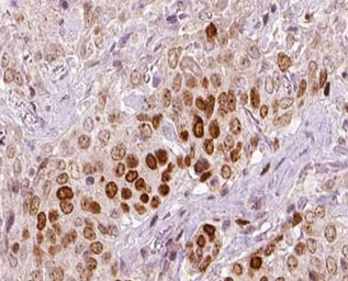
Anti-REV3L antibody used in IHC (Paraffin sections) (IHC-P). GTX02533
GTX02533 IHC-P Image

IHC-P analysis of human liver tissue using GTX02533 REV3L antibody.
Antigen retrieval : Heat mediated antigen retrieval step in citrate buffer was performed.
Dilution : 1:100

1 / 3
Anti-REV3L antibody used in Western Blot (WB). GTX02533
GTX02533 WB Image

WB analysis of extracts from human brain tissue using GTX02533 REV3L antibody. The lane on the left was treated with blocking peptide.

2 / 3
Anti-REV3L antibody used in IHC (Paraffin sections) (IHC-P). GTX02533
GTX02533 IHC-P Image

IHC-P analysis of mouse testis tissue using GTX02533 REV3L antibody.
Antigen retrieval : Heat mediated antigen retrieval step in citrate buffer was performed.
Dilution : 1:100

3 / 3
Anti-REV3L antibody used in IHC (Paraffin sections) (IHC-P). GTX02533
Anti-REV3L antibody used in Western Blot (WB). GTX02533
Anti-REV3L antibody used in IHC (Paraffin sections) (IHC-P). GTX02533
  • Host
    Rabbit
  • Clonality
    Polyclonal
  • Isotype
    IgG
  • Applications
    WB IHC-P
  • Reactivity
    Human, Mouse
See all REV3L products