RGS4 antibody

Cat. No. GTX114184
Cat. No.  GTX114184
Anti-RGS4 antibody used in Western Blot (WB). GTX114184
GTX114184 WB Image

RGS4 antibody detects RGS4 protein by western blot analysis.
A. 50 μg rat brain lysate/extract
12% SDS-PAGE
RGS4 antibody (GTX114184) dilution: 1:1000
The HRP-conjugated anti-rabbit IgG antibody (GTX213110-01) was used to detect the primary antibody.

1 / 3
Anti-RGS4 antibody used in Western Blot (WB). GTX114184
GTX114184 WB Image

Whole cell extract (30 μg) was separated by 12% SDS-PAGE, and the membrane was blotted with RGS4 antibody (GTX114184) diluted at 1:1000. The HRP-conjugated anti-rabbit IgG antibody (GTX213110-01) was used to detect the primary antibody.

2 / 3
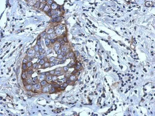
Anti-RGS4 antibody used in IHC (Paraffin sections) (IHC-P). GTX114184
GTX114184 IHC-P Image

Immunohistochemical analysis of paraffin-embedded human breast cancer, using RGS4(GTX114184) antibody at 1:500 dilution.
Antigen Retrieval: Trilogy™ (EDTA based, pH 8.0) buffer, 15min

3 / 3
Anti-RGS4 antibody used in Western Blot (WB). GTX114184
Anti-RGS4 antibody used in Western Blot (WB). GTX114184
Anti-RGS4 antibody used in IHC (Paraffin sections) (IHC-P). GTX114184
  • Host
    Rabbit
  • Clonality
    Polyclonal
  • Isotype
    IgG
  • Applications
    WB IHC-P
  • Reactivity
    Human, Rat
See all RGS4 products