RGS5 antibody

Cat. No. GTX64682
Cat. No.  GTX64682
Anti-RGS5 antibody used in Western Blot (WB). GTX64682
GTX64682 WB Image

WB analysis of mouse heart tissue lysate using GTX64682 RGS5 antibody.
Dilution : 1:1000
Loading : 25μg per lane

1 / 4
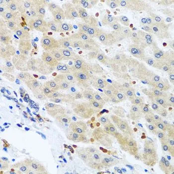
Anti-RGS5 antibody used in IHC (Paraffin sections) (IHC-P). GTX64682
GTX64682 IHC-P Image

IHC-P analysis of human liver tissue using GTX64682 RGS5 antibody.
Dilution : 1:100

2 / 4
Anti-RGS5 antibody used in IHC (Paraffin sections) (IHC-P). GTX64682
GTX64682 IHC-P Image

IHC-P analysis of rat lung tissue using GTX64682 RGS5 antibody.
Dilution : 1:100

3 / 4
Anti-RGS5 antibody used in IHC (Paraffin sections) (IHC-P). GTX64682
GTX64682 IHC-P Image

IHC-P analysis of mouse lung tissue using GTX64682 RGS5 antibody.
Dilution : 1:100

4 / 4
Anti-RGS5 antibody used in Western Blot (WB). GTX64682
Anti-RGS5 antibody used in IHC (Paraffin sections) (IHC-P). GTX64682
Anti-RGS5 antibody used in IHC (Paraffin sections) (IHC-P). GTX64682
Anti-RGS5 antibody used in IHC (Paraffin sections) (IHC-P). GTX64682
  • Host
    Rabbit
  • Clonality
    Polyclonal
  • Isotype
    IgG
  • Applications
    WB IHC-P
  • Reactivity
    Human, Mouse, Rat
See all RGS5 products