RICH2 antibody

Cat. No. GTX32841
Cat. No.  GTX32841
Anti-RICH2 antibody used in Western Blot (WB). GTX32841
GTX32841 WB Image

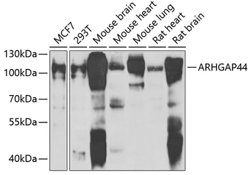
WB analysis of various sample lysates using GTX32841 RICH2 antibody. The signal was developed with ECL plus-Enhanced.
Dilution : 1:1000
Loading : 25μg per lane

1 / 1
Anti-RICH2 antibody used in Western Blot (WB). GTX32841
  • Host
    Rabbit
  • Clonality
    Polyclonal
  • Isotype
    IgG
  • Applications
    WB
  • Reactivity
    Human, Mouse, Rat
See all RICH2 products