RIPK5 antibody [C1C3-2]

Cat. No. GTX107925
Cat. No.  GTX107925
Anti-RIPK5 antibody [C1C3-2] used in Western Blot (WB). GTX107925
GTX107925 WB Image

Sample (30μg whole cell lysate)
A:Hep G2 (GTX27900)
B:MOLT4 (GTX27912)
7.5% SDS PAGE
GTX107925 diluted at 1:1000

1 / 2
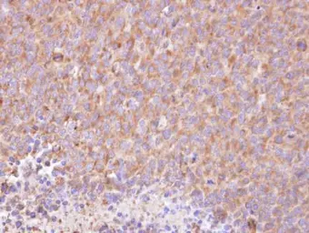
Anti-RIPK5 antibody [C1C3-2] used in IHC (Paraffin sections) (IHC-P). GTX107925
GTX107925 IHC-P Image

Immunohistochemical analysis of paraffin-embedded H1299 xenograft , using RIPK5(GTX107925) antibody at 1:100 dilution.
Antigen Retrieval: Trilogy™ (EDTA based, pH 8.0) buffer, 15min

2 / 2
Anti-RIPK5 antibody [C1C3-2] used in Western Blot (WB). GTX107925
Anti-RIPK5 antibody [C1C3-2] used in IHC (Paraffin sections) (IHC-P). GTX107925
  • Host
    Rabbit
  • Clonality
    Polyclonal
  • Isotype
    IgG
  • Applications
    WB IHC-P
  • Reactivity
    Human
See all RIPK5 products