RNF144B antibody [9H10]

Cat. No. GTX83704
Cat. No.  GTX83704
Anti-RNF144B antibody [9H10] used in Immunocytochemistry/ Immunofluorescence (ICC/IF). GTX83704
GTX83704 ICC/IF Image

ICC/IF analysis of COS7 cells transiently transfected with RNF144B plasmid using GTX83704 RNF144B antibody [9H10].

1 / 11
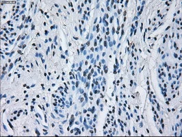
Anti-RNF144B antibody [9H10] used in IHC (Paraffin sections) (IHC-P). GTX83704
GTX83704 IHC-P Image

IHC-P analysis of human ovary tissue using GTX83704 RNF144B antibody [9H10].
Antigen retrieval : Heat-induced epitope retrieval by 10mM citrate buffer, pH6.0, 100ºC for 10min.

2 / 11
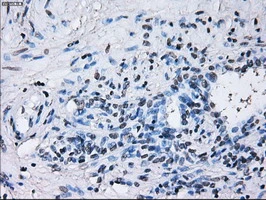
Anti-RNF144B antibody [9H10] used in IHC (Paraffin sections) (IHC-P). GTX83704
GTX83704 IHC-P Image

IHC-P analysis of human prostate tissue using GTX83704 RNF144B antibody [9H10].
Antigen retrieval : Heat-induced epitope retrieval by 10mM citrate buffer, pH6.0, 100ºC for 10min.

3 / 11
Anti-RNF144B antibody [9H10] used in Flow cytometry (FCM). GTX83704
GTX83704 FCM Image

FACS analysis of Jurkat cells using GTX83704 RNF144B antibody [9H10].
Red : Primary antibody
Blue : Negative control antibody

4 / 11
Anti-RNF144B antibody [9H10] used in Flow cytometry (FCM). GTX83704
GTX83704 FCM Image

FACS analysis of HeLa cells using GTX83704 RNF144B antibody [9H10].
Red : Primary antibody
Blue : Negative control antibody

5 / 11
Anti-RNF144B antibody [9H10] used in Flow cytometry (FCM). GTX83704
GTX83704 FCM Image

FACS analysis of HEK293T cells transfected with either RNF144B plasmid(Red) or empty vector control plasmid(Blue) using GTX83704 RNF144B antibody [9H10].

6 / 11
Anti-RNF144B antibody [9H10] used in IHC (Paraffin sections) (IHC-P). GTX83704
GTX83704 IHC-P Image

IHC-P analysis of human endometrium tissue using GTX83704 RNF144B antibody [9H10].
Antigen retrieval : Heat-induced epitope retrieval by 10mM citrate buffer, pH6.0, 100ºC for 10min.

7 / 11
Anti-RNF144B antibody [9H10] used in IHC (Paraffin sections) (IHC-P). GTX83704
GTX83704 IHC-P Image

IHC-P analysis of human kidney tissue using GTX83704 RNF144B antibody [9H10].
Antigen retrieval : Heat-induced epitope retrieval by 10mM citrate buffer, pH6.0, 100ºC for 10min.

8 / 11
Anti-RNF144B antibody [9H10] used in Immunocytochemistry/ Immunofluorescence (ICC/IF). GTX83704
GTX83704 ICC/IF Image

ICC/IF analysis of HeLa cells using GTX83704 RNF144B antibody [9H10].

9 / 11
Anti-RNF144B antibody [9H10] used in Western Blot (WB). GTX83704
GTX83704 WB Image

WB analysis of HEK293T cells transfected with RNF144B plasmid (Right) or empty vector (Left) for 48 hrs using GTX83704 RNF144B antibody [9H10].
Loading : 5 ug per lane

10 / 11
Anti-RNF144B antibody [9H10] used in IHC (Paraffin sections) (IHC-P). GTX83704
GTX83704 IHC-P Image

IHC-P analysis of human colon tissue using GTX83704 RNF144B antibody [9H10].
Antigen retrieval : Heat-induced epitope retrieval by 10mM citrate buffer, pH6.0, 100ºC for 10min.

11 / 11
Anti-RNF144B antibody [9H10] used in Immunocytochemistry/ Immunofluorescence (ICC/IF). GTX83704
Anti-RNF144B antibody [9H10] used in IHC (Paraffin sections) (IHC-P). GTX83704
Anti-RNF144B antibody [9H10] used in IHC (Paraffin sections) (IHC-P). GTX83704
Anti-RNF144B antibody [9H10] used in Flow cytometry (FCM). GTX83704
Anti-RNF144B antibody [9H10] used in Flow cytometry (FCM). GTX83704
Anti-RNF144B antibody [9H10] used in Flow cytometry (FCM). GTX83704
Anti-RNF144B antibody [9H10] used in IHC (Paraffin sections) (IHC-P). GTX83704
Anti-RNF144B antibody [9H10] used in IHC (Paraffin sections) (IHC-P). GTX83704
Anti-RNF144B antibody [9H10] used in Immunocytochemistry/ Immunofluorescence (ICC/IF). GTX83704
Anti-RNF144B antibody [9H10] used in Western Blot (WB). GTX83704
Anti-RNF144B antibody [9H10] used in IHC (Paraffin sections) (IHC-P). GTX83704
  • Host
    Mouse
  • Clonality
    Monoclonal
  • Clone Name
    9H10
  • Isotype
    IgG2b
  • Applications
    WB ICC/IF IHC-P FCM
  • Reactivity
    Human
See all RNF144B products