RNase 13 antibody

Cat. No. GTX54675
Cat. No.  GTX54675
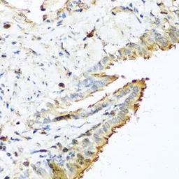
Anti-RNase 13 antibody used in IHC (Paraffin sections) (IHC-P). GTX54675
GTX54675 IHC-P Image

IHC-P analysis of human stomach tissue using GTX54675 RNase 13 antibody.
Dilution : 1:100

1 / 5
Anti-RNase 13 antibody used in IHC (Paraffin sections) (IHC-P). GTX54675
GTX54675 IHC-P Image

IHC-P analysis of human prostate tissue using GTX54675 RNase 13 antibody.
Dilution : 1:100

2 / 5
Anti-RNase 13 antibody used in Immunocytochemistry/ Immunofluorescence (ICC/IF). GTX54675
GTX54675 ICC/IF Image

ICC/IF analysis of MCF7 cells using GTX54675 RNase 13 antibody.
Blue : DAPI

3 / 5
Anti-RNase 13 antibody used in Western Blot (WB). GTX54675
GTX54675 WB Image

WB analysis of Raji cell lysate using GTX54675 RNase 13 antibody.
Dilution : 1:1000
Loading : 25μg per lane

4 / 5
Anti-RNase 13 antibody used in IHC (Paraffin sections) (IHC-P). GTX54675
GTX54675 IHC-P Image

IHC-P analysis of mouse lung tissue using GTX54675 RNase 13 antibody.
Dilution : 1:100

5 / 5
Anti-RNase 13 antibody used in IHC (Paraffin sections) (IHC-P). GTX54675
Anti-RNase 13 antibody used in IHC (Paraffin sections) (IHC-P). GTX54675
Anti-RNase 13 antibody used in Immunocytochemistry/ Immunofluorescence (ICC/IF). GTX54675
Anti-RNase 13 antibody used in Western Blot (WB). GTX54675
Anti-RNase 13 antibody used in IHC (Paraffin sections) (IHC-P). GTX54675
  • Host
    Rabbit
  • Clonality
    Polyclonal
  • Isotype
    IgG
  • Applications
    WB ICC/IF IHC-P
  • Reactivity
    Human, Mouse
See all RNase 13 products