RP105 antibody [N2C1], Internal

Cat. No. GTX109057
Cat. No.  GTX109057
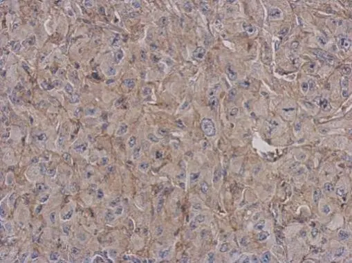
Anti-RP105 antibody [N2C1], Internal used in IHC (Paraffin sections) (IHC-P). GTX109057
GTX109057 IHC-P Image

Immunohistochemical analysis of paraffin-embedded Mahlarvu xenograft, using RP105(GTX109057) antibody at 1:500 dilution.
Antigen Retrieval: Trilogy™ (EDTA based, pH 8.0) buffer, 15min

1 / 3
Anti-RP105 antibody [N2C1], Internal used in Flow cytometry (FCM). GTX109057
GTX109057 FCM Image

RP105 antibody [N2C1], Internal Flow cytometry on Jurkat cells fixed in 4% paraformaldehyde at 4oC for 5 min, staining with RP105 (GTX109057) antibody at 1:100 dilution (blue) or rabbit IgG (black).

2 / 3
Anti-RP105 antibody [N2C1], Internal used in Western Blot (WB). GTX109057
GTX109057 WB Image

Sample (30 ug of whole cell lysate)
A: Jurkat
7.5% SDS PAGE
GTX109057 diluted at 1:1000

3 / 3
Anti-RP105 antibody [N2C1], Internal used in IHC (Paraffin sections) (IHC-P). GTX109057
Anti-RP105 antibody [N2C1], Internal used in Flow cytometry (FCM). GTX109057
Anti-RP105 antibody [N2C1], Internal used in Western Blot (WB). GTX109057
  • Host
    Rabbit
  • Clonality
    Polyclonal
  • Isotype
    IgG
  • Applications
    WB ICC/IF IHC-P FCM
  • Reactivity
    Human
See all RP105 products