RP2 antibody, Internal

Cat. No. GTX45039
Cat. No.  GTX45039
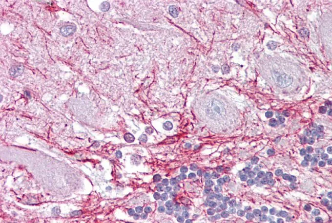
Anti-RP2 antibody, Internal used in IHC (Paraffin sections) (IHC-P). GTX45039
GTX45039 IHC-P Image

IHC-P analysis of human brain tissue using GTX45039 RP2 antibody at 5μg/ml.

1 / 2
Anti-RP2 antibody, Internal used in Western Blot (WB). GTX45039
GTX45039 WB Image

WB analysis of human fetal muscle tissue using GTX45039 RP2 antibody at 0.2-1μg/ml.

2 / 2
Anti-RP2 antibody, Internal used in IHC (Paraffin sections) (IHC-P). GTX45039
Anti-RP2 antibody, Internal used in Western Blot (WB). GTX45039
  • Host
    Rabbit
  • Clonality
    Polyclonal
  • Isotype
    IgG
  • Applications
    WB IHC-P
  • Reactivity
    Human
See all RP2 products