RPA32 antibody [1H10]

Cat. No. GTX83691
Cat. No.  GTX83691
Anti-RPA32 antibody [1H10] used in Western Blot (WB). GTX83691
GTX83691 WB Image

WB analysis of various cell lines using GTX83691 RPA32 antibody [1H10].
Loading : 35 ug per lane

1 / 16
Anti-RPA32 antibody [1H10] used in IHC (Paraffin sections) (IHC-P). GTX83691
GTX83691 IHC-P Image

IHC-P analysis of human pancreas tissue using GTX83691 RPA32 antibody [1H10].
Antigen retrieval : Heat-induced epitope retrieval by 10mM citrate buffer, pH6.0, 100ºC for 10min.

2 / 16
Anti-RPA32 antibody [1H10] used in Immunoprecipitation (IP). GTX83691
GTX83691 IP Image

IP analysis of DDDDK tagged RPA32 overexpressed HEK293T lysate using GTX83691 RPA32 antibody [1H10].After extensive wash to remove any non-specific binding, the immuno-precipitated products were analyzed with rabbit anti-DDDDK polyclonal antibody.
IP reaction : 2μg antibody / 500μl cell lysate

3 / 16
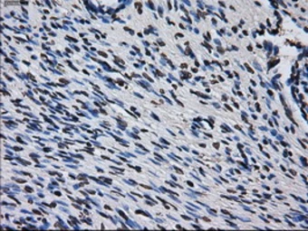
Anti-RPA32 antibody [1H10] used in IHC (Paraffin sections) (IHC-P). GTX83691
GTX83691 IHC-P Image

IHC-P analysis of human colon adenocarcinoma tissue using GTX83691 RPA32 antibody [1H10].
Antigen retrieval : Heat-induced epitope retrieval by 10mM citrate buffer, pH6.0, 100ºC for 10min.

4 / 16
Anti-RPA32 antibody [1H10] used in IHC (Paraffin sections) (IHC-P). GTX83691
GTX83691 IHC-P Image

IHC-P analysis of human breast tissue using GTX83691 RPA32 antibody [1H10].
Antigen retrieval : Heat-induced epitope retrieval by 10mM citrate buffer, pH6.0, 100ºC for 10min.

5 / 16
Anti-RPA32 antibody [1H10] used in IHC (Paraffin sections) (IHC-P). GTX83691
GTX83691 IHC-P Image

IHC-P analysis of human colon tissue using GTX83691 RPA32 antibody [1H10].
Antigen retrieval : Heat-induced epitope retrieval by 10mM citrate buffer, pH6.0, 100ºC for 10min.

6 / 16
Anti-RPA32 antibody [1H10] used in Flow cytometry (FCM). GTX83691
GTX83691 FCM Image

FACS analysis of HeLa cells using GTX83691 RPA32 antibody [1H10].
Red : Primary antibody
Blue : Negative control antibody

7 / 16
Anti-RPA32 antibody [1H10] used in Western Blot (WB). GTX83691
GTX83691 WB Image

WB analysis of HEK293T cells transfected with RPA32 plasmid (Right) or empty vector (Left) for 48 hrs using GTX83691 RPA32 antibody [1H10].
Loading : 5 ug per lane

8 / 16
Anti-RPA32 antibody [1H10] used in IHC (Paraffin sections) (IHC-P). GTX83691
GTX83691 IHC-P Image

IHC-P analysis of human endometrium tissue using GTX83691 RPA32 antibody [1H10].
Antigen retrieval : Heat-induced epitope retrieval by 10mM citrate buffer, pH6.0, 100ºC for 10min.

9 / 16
Anti-RPA32 antibody [1H10] used in Immunocytochemistry/ Immunofluorescence (ICC/IF). GTX83691
GTX83691 ICC/IF Image

ICC/IF analysis of COS7 cells transiently transfected with RPA32 plasmid using GTX83691 RPA32 antibody [1H10].

10 / 16
Anti-RPA32 antibody [1H10] used in Flow cytometry (FCM). GTX83691
GTX83691 FCM Image

FACS analysis of HEK293T cells transfected with either RPA32 plasmid(Red) or empty vector control plasmid(Blue) using GTX83691 RPA32 antibody [1H10].

11 / 16
Anti-RPA32 antibody [1H10] used in IHC (Paraffin sections) (IHC-P). GTX83691
GTX83691 IHC-P Image

IHC-P analysis of human ovary adenocarcinoma tissue using GTX83691 RPA32 antibody [1H10].
Antigen retrieval : Heat-induced epitope retrieval by 10mM citrate buffer, pH6.0, 100ºC for 10min.

12 / 16
Anti-RPA32 antibody [1H10] used in Flow cytometry (FCM). GTX83691
GTX83691 FCM Image

FACS analysis of Jurkat cells using GTX83691 RPA32 antibody [1H10].
Red : Primary antibody
Blue : Negative control antibody

13 / 16
Anti-RPA32 antibody [1H10] used in IHC (Paraffin sections) (IHC-P). GTX83691
GTX83691 IHC-P Image

IHC-P analysis of human prostate tissue using GTX83691 RPA32 antibody [1H10].
Antigen retrieval : Heat-induced epitope retrieval by 10mM citrate buffer, pH6.0, 100ºC for 10min.

14 / 16
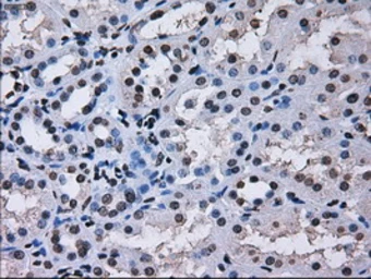
Anti-RPA32 antibody [1H10] used in IHC (Paraffin sections) (IHC-P). GTX83691
GTX83691 IHC-P Image

IHC-P analysis of human kidney tissue using GTX83691 RPA32 antibody [1H10].
Antigen retrieval : Heat-induced epitope retrieval by 10mM citrate buffer, pH6.0, 100ºC for 10min.

15 / 16
Anti-RPA32 antibody [1H10] used in IHC (Paraffin sections) (IHC-P). GTX83691
GTX83691 IHC-P Image

IHC-P analysis of human ovary tissue using GTX83691 RPA32 antibody [1H10].
Antigen retrieval : Heat-induced epitope retrieval by 10mM citrate buffer, pH6.0, 100ºC for 10min.

16 / 16
Anti-RPA32 antibody [1H10] used in Western Blot (WB). GTX83691
Anti-RPA32 antibody [1H10] used in IHC (Paraffin sections) (IHC-P). GTX83691
Anti-RPA32 antibody [1H10] used in Immunoprecipitation (IP). GTX83691
Anti-RPA32 antibody [1H10] used in IHC (Paraffin sections) (IHC-P). GTX83691
Anti-RPA32 antibody [1H10] used in IHC (Paraffin sections) (IHC-P). GTX83691
Anti-RPA32 antibody [1H10] used in IHC (Paraffin sections) (IHC-P). GTX83691
Anti-RPA32 antibody [1H10] used in Flow cytometry (FCM). GTX83691
Anti-RPA32 antibody [1H10] used in Western Blot (WB). GTX83691
Anti-RPA32 antibody [1H10] used in IHC (Paraffin sections) (IHC-P). GTX83691
Anti-RPA32 antibody [1H10] used in Immunocytochemistry/ Immunofluorescence (ICC/IF). GTX83691
Anti-RPA32 antibody [1H10] used in Flow cytometry (FCM). GTX83691
Anti-RPA32 antibody [1H10] used in IHC (Paraffin sections) (IHC-P). GTX83691
Anti-RPA32 antibody [1H10] used in Flow cytometry (FCM). GTX83691
Anti-RPA32 antibody [1H10] used in IHC (Paraffin sections) (IHC-P). GTX83691
Anti-RPA32 antibody [1H10] used in IHC (Paraffin sections) (IHC-P). GTX83691
Anti-RPA32 antibody [1H10] used in IHC (Paraffin sections) (IHC-P). GTX83691
  • Host
    Mouse
  • Clonality
    Monoclonal
  • Clone Name
    1H10
  • Isotype
    IgG1
  • Applications
    WB ICC/IF IHC-P FCM IP
  • Reactivity
    Human, Rat, Dog, Monkey
See all RPA32 products