RPA32 antibody [MA34]

Cat. No. GTX15783
Cat. No.  GTX15783
Anti-RPA32 antibody [MA34] used in Immunocytochemistry/ Immunofluorescence (ICC/IF). GTX15783
GTX15783 ICC/IF Image

ICC/IF analysis of HeLa cells using GTX15783 RPA32 antibody [MA34]. Cells were probed without (right) or with(left) an antibody.
Green : Primary antibody
Blue : Nuclei
Red : Actin
Fixation : formaldehyde
Dilution : 1:200 overnight at 4ºC

1 / 7
Anti-RPA32 antibody [MA34] used in Immunocytochemistry/ Immunofluorescence (ICC/IF). GTX15783
GTX15783 ICC/IF Image

ICC/IF analysis of A431 cells using GTX15783 RPA32 antibody [MA34]. Cells were probed without (right) or with(left) an antibody.
Green : Primary antibody
Blue : Nuclei
Red : Actin
Fixation : formaldehyde
Dilution : 1:200 overnight at 4ºC

2 / 7
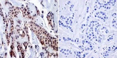
Anti-RPA32 antibody [MA34] used in IHC (Paraffin sections) (IHC-P). GTX15783
GTX15783 IHC-P Image

IHC-P analysis of human breast carcinoma tissue using GTX15783 RPA32 antibody [MA34].
Left : Primary antibody
Right : Negative control without primary antibody
Antigen retrieval : heat induced antigen retrieval was performed using 10mM sodium citrate (pH6.0) buffer, microwaved for 8-15 minutes
Dilution : 1:20

3 / 7
Anti-RPA32 antibody [MA34] used in Western Blot (WB). GTX15783
GTX15783 WB Image

WB analysis of purified RPA protein using GTX15783 RPA32 antibody [MA34].

4 / 7
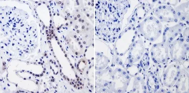
Anti-RPA32 antibody [MA34] used in IHC (Paraffin sections) (IHC-P). GTX15783
GTX15783 IHC-P Image

IHC-P analysis of human kidney tissue using GTX15783 RPA32 antibody [MA34].
Left : Primary antibody
Right : Negative control without primary antibody
Antigen retrieval : heat induced antigen retrieval was performed using 10mM sodium citrate (pH6.0) buffer, microwaved for 8-15 minutes
Dilution : 1:20

5 / 7
Anti-RPA32 antibody [MA34] used in IHC (Paraffin sections) (IHC-P). GTX15783
GTX15783 IHC-P Image

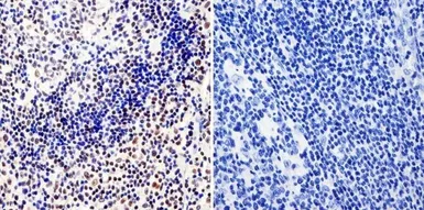
IHC-P analysis of human tonsil tissue using GTX15783 RPA32 antibody [MA34].
Left : Primary antibody
Right : Negative control without primary antibody
Antigen retrieval : heat induced antigen retrieval was performed using 10mM sodium citrate (pH6.0) buffer, microwaved for 8-15 minutes
Dilution : 1:20

6 / 7
Anti-RPA32 antibody [MA34] used in Immunocytochemistry/ Immunofluorescence (ICC/IF). GTX15783
GTX15783 ICC/IF Image

ICC/IF analysis of C6 cells using GTX15783 RPA32 antibody [MA34]. Cells were probed without (right) or with(left) an antibody.
Green : Primary antibody
Blue : Nuclei
Red : Actin
Fixation : formaldehyde
Dilution : 1:200 overnight at 4ºC

7 / 7
Anti-RPA32 antibody [MA34] used in Immunocytochemistry/ Immunofluorescence (ICC/IF). GTX15783
Anti-RPA32 antibody [MA34] used in Immunocytochemistry/ Immunofluorescence (ICC/IF). GTX15783
Anti-RPA32 antibody [MA34] used in IHC (Paraffin sections) (IHC-P). GTX15783
Anti-RPA32 antibody [MA34] used in Western Blot (WB). GTX15783
Anti-RPA32 antibody [MA34] used in IHC (Paraffin sections) (IHC-P). GTX15783
Anti-RPA32 antibody [MA34] used in IHC (Paraffin sections) (IHC-P). GTX15783
Anti-RPA32 antibody [MA34] used in Immunocytochemistry/ Immunofluorescence (ICC/IF). GTX15783
  • Host
    Mouse
  • Clonality
    Monoclonal
  • Clone Name
    MA34
  • Isotype
    IgM
  • Applications
    WB ICC/IF IHC-P
  • Reactivity
    Human, Rat
See all RPA32 products