RPL22 antibody

Cat. No. GTX87028
Cat. No.  GTX87028
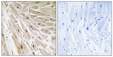
Anti-RPL22 antibody used in IHC (Paraffin sections) (IHC-P). GTX87028
GTX87028 IHC-P Image

IHC-P analysis of human heart tissue using GTX87028 RPL22 antibody. The picture on the right is blocked with the synthesized peptide.

1 / 1
Anti-RPL22 antibody used in IHC (Paraffin sections) (IHC-P). GTX87028
  • Host
    Rabbit
  • Clonality
    Polyclonal
  • Isotype
    IgG
  • Applications
    IHC-P
  • Reactivity
    Human
See all RPL22 products