RPL3 antibody [HL4820]

Cat. No. GTX644832
Cat. No.  GTX644832
Anti-RPL3 antibody [HL4820] used in Western Blot (WB). GTX644832
GTX644832 WB Image

Various whole cell extracts (30 μg) were separated by 10% SDS-PAGE, and the membrane was blotted with RPL3 antibody [HL4820] (GTX644832) diluted at 1:1000. The HRP-conjugated anti-rabbit IgG antibody (GTX213110-01) was used to detect the primary antibody.

1 / 3
Anti-RPL3 antibody [HL4820] used in Western Blot (WB). GTX644832
GTX644832 WB Image

Various whole cell extracts (30 μg) were separated by 10% SDS-PAGE, and the membrane was blotted with RPL3 antibody [HL4820] (GTX644832) diluted at 1:1000. The HRP-conjugated anti-rabbit IgG antibody (GTX213110-01) was used to detect the primary antibody.

2 / 3
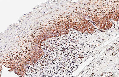
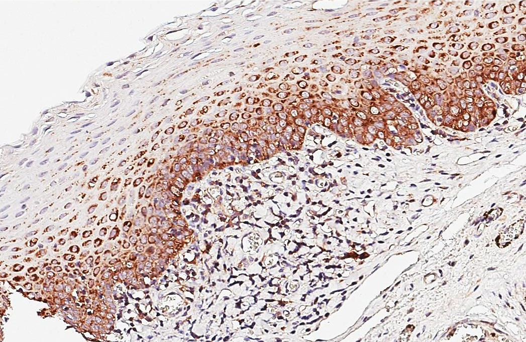
Anti-RPL3 antibody [HL4820] used in IHC (Paraffin sections) (IHC-P). GTX644832
GTX644832 IHC-P Image

RPL3 antibody [HL4820] detects RPL3 protein by immunohistochemical analysis.
Sample: Paraffin-embedded human tonsil.
RPL3 stained by RPL3 antibody [HL4820] (GTX644832) diluted at 1:200.
Antigen Retrieval: Citrate buffer, pH 6.0, 15 min

3 / 3
Anti-RPL3 antibody [HL4820] used in Western Blot (WB). GTX644832
Anti-RPL3 antibody [HL4820] used in Western Blot (WB). GTX644832
Anti-RPL3 antibody [HL4820] used in IHC (Paraffin sections) (IHC-P). GTX644832
  • Host
    Rabbit
  • Clonality
    Monoclonal
  • Clone Name
    HL4820
  • Isotype
    IgG
  • Applications
    WB IHC-P
  • Reactivity
    Human, Mouse, Rat
See all RPL3 products