RPLP1 antibody

Cat. No. GTX33474
Cat. No.  GTX33474
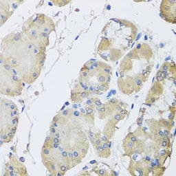
Anti-RPLP1 antibody used in IHC (Paraffin sections) (IHC-P). GTX33474
GTX33474 IHC-P Image

IHC-P analysis of human stomach tissue using GTX33474 RPLP1 antibody.
Dilution : 1:100

1 / 5
Anti-RPLP1 antibody used in Western Blot (WB). GTX33474
GTX33474 WB Image

WB analysis of various sample lysates using GTX33474 RPLP1 antibody.
Dilution : 1:1000
Loading : 25μg per lane

2 / 5
Anti-RPLP1 antibody used in Immunocytochemistry/ Immunofluorescence (ICC/IF). GTX33474
GTX33474 ICC/IF Image

ICC/IF analysis of MCF7 cells using GTX33474 RPLP1 antibody.
Blue : DAPI

3 / 5
Anti-RPLP1 antibody used in IHC (Paraffin sections) (IHC-P). GTX33474
GTX33474 IHC-P Image

IHC-P analysis of rat brain tissue using GTX33474 RPLP1 antibody.
Dilution : 1:100

4 / 5
Anti-RPLP1 antibody used in IHC (Paraffin sections) (IHC-P). GTX33474
GTX33474 IHC-P Image

IHC-P analysis of mouse brain tissue using GTX33474 RPLP1 antibody.
Dilution : 1:100

5 / 5
Anti-RPLP1 antibody used in IHC (Paraffin sections) (IHC-P). GTX33474
Anti-RPLP1 antibody used in Western Blot (WB). GTX33474
Anti-RPLP1 antibody used in Immunocytochemistry/ Immunofluorescence (ICC/IF). GTX33474
Anti-RPLP1 antibody used in IHC (Paraffin sections) (IHC-P). GTX33474
Anti-RPLP1 antibody used in IHC (Paraffin sections) (IHC-P). GTX33474
  • Host
    Rabbit
  • Clonality
    Polyclonal
  • Isotype
    IgG
  • Applications
    WB ICC/IF IHC-P
  • Reactivity
    Human, Mouse, Rat
See all RPLP1 products