RPS3A antibody

Cat. No. GTX33478
Cat. No.  GTX33478
Anti-RPS3A antibody used in IHC (Paraffin sections) (IHC-P). GTX33478
GTX33478 IHC-P Image

IHC-P analysis of rat brain tissue using GTX33478 RPS3A antibody.
Dilution : 1:100

1 / 6
Anti-RPS3A antibody used in Immunoprecipitation (IP). GTX33478
GTX33478 IP Image

IP analysis of MCF-7 cell lysate using GTX33478 RPS3A antibody.
Antibody amount : 3μg / 200μg lysate
Dilution : 1:500

2 / 6
Anti-RPS3A antibody used in Immunocytochemistry/ Immunofluorescence (ICC/IF). GTX33478
GTX33478 ICC/IF Image

ICC/IF analysis of MCF7 cells using GTX33478 RPS3A antibody.
Blue : DAPI

3 / 6
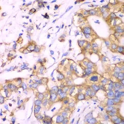
Anti-RPS3A antibody used in IHC (Paraffin sections) (IHC-P). GTX33478
GTX33478 IHC-P Image

IHC-P analysis of human liver cancer tissue using GTX33478 RPS3A antibody.
Dilution : 1:100

4 / 6
Anti-RPS3A antibody used in IHC (Paraffin sections) (IHC-P). GTX33478
GTX33478 IHC-P Image

IHC-P analysis of mouse brain tissue using GTX33478 RPS3A antibody.
Dilution : 1:100

5 / 6
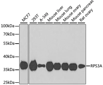
Anti-RPS3A antibody used in Western Blot (WB). GTX33478
GTX33478 WB Image

WB analysis of various sample lysates using GTX33478 RPS3A antibody.
Dilution : 1:1000
Loading : 25μg per lane

6 / 6
Anti-RPS3A antibody used in IHC (Paraffin sections) (IHC-P). GTX33478
Anti-RPS3A antibody used in Immunoprecipitation (IP). GTX33478
Anti-RPS3A antibody used in Immunocytochemistry/ Immunofluorescence (ICC/IF). GTX33478
Anti-RPS3A antibody used in IHC (Paraffin sections) (IHC-P). GTX33478
Anti-RPS3A antibody used in IHC (Paraffin sections) (IHC-P). GTX33478
Anti-RPS3A antibody used in Western Blot (WB). GTX33478
  • Host
    Rabbit
  • Clonality
    Polyclonal
  • Isotype
    IgG
  • Applications
    WB ICC/IF IHC-P IP
  • Reactivity
    Human, Mouse, Rat
See all RPS3A products