RRP12 antibody [N1N2], N-term

Cat. No. GTX120180
Cat. No.  GTX120180
Anti-RRP12 antibody [N1N2], N-term used in Western Blot (WB). GTX120180
GTX120180 WB Image

Sample (30 ug of whole cell lysate)
A: NT2D1
5% SDS PAGE
GTX120180 diluted at 1:2000

1 / 3
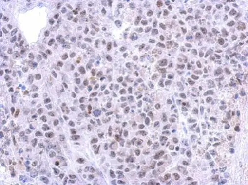
Anti-RRP12 antibody [N1N2], N-term used in IHC (Paraffin sections) (IHC-P). GTX120180
GTX120180 IHC-P Image

Immunohistochemical analysis of paraffin-embedded Hela xenograft, using RRP12(GTX120180) antibody at 1:500 dilution.
Antigen Retrieval: Trilogy™ (EDTA based, pH 8.0) buffer, 15min

2 / 3
Anti-RRP12 antibody [N1N2], N-term used in Immunocytochemistry/ Immunofluorescence (ICC/IF). GTX120180
GTX120180 ICC/IF Image

Immunofluorescence analysis of paraformaldehyde-fixed MCF-7, using RRP12(GTX120180) antibody at 1:200 dilution.

3 / 3
Anti-RRP12 antibody [N1N2], N-term used in Western Blot (WB). GTX120180
Anti-RRP12 antibody [N1N2], N-term used in IHC (Paraffin sections) (IHC-P). GTX120180
Anti-RRP12 antibody [N1N2], N-term used in Immunocytochemistry/ Immunofluorescence (ICC/IF). GTX120180
  • Host
    Rabbit
  • Clonality
    Polyclonal
  • Isotype
    IgG
  • Applications
    WB ICC/IF IHC-P
  • Reactivity
    Human
See all RRP12 products