RRP4 antibody [N1C3]

Cat. No. GTX117616
Cat. No.  GTX117616
Anti-RRP4 antibody [N1C3] used in Western Blot (WB). GTX117616
GTX117616 WB Image

Sample (30 ug of whole cell lysate)
A: HCT116
12% SDS PAGE
GTX117616 diluted at 1:1000

1 / 3
Anti-RRP4 antibody [N1C3] used in Immunocytochemistry/ Immunofluorescence (ICC/IF). GTX117616
GTX117616 ICC/IF Image

Immunofluorescence analysis of paraformaldehyde-fixed HeLa, using RRP4(GTX117616) antibody at 1:200 dilution.

2 / 3
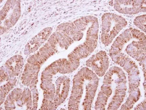
Anti-RRP4 antibody [N1C3] used in IHC (Paraffin sections) (IHC-P). GTX117616
GTX117616 IHC-P Image

Immunohistochemical analysis of paraffin-embedded human colon carcinoma, using RRP4(GTX117616) antibody at 1:250 dilution.
Antigen Retrieval: Trilogy™ (EDTA based, pH 8.0) buffer, 15min

3 / 3
Anti-RRP4 antibody [N1C3] used in Western Blot (WB). GTX117616
Anti-RRP4 antibody [N1C3] used in Immunocytochemistry/ Immunofluorescence (ICC/IF). GTX117616
Anti-RRP4 antibody [N1C3] used in IHC (Paraffin sections) (IHC-P). GTX117616
  • Host
    Rabbit
  • Clonality
    Polyclonal
  • Isotype
    IgG
  • Applications
    WB ICC/IF IHC-P
  • Reactivity
    Human
See all RRP4 products