Rabbit Anti-Human IgA antibody (ready-to-use)

Cat. No. GTX20937
Cat. No.  GTX20937
Rabbit Anti-Human IgA antibody (ready-to-use). GTX20937
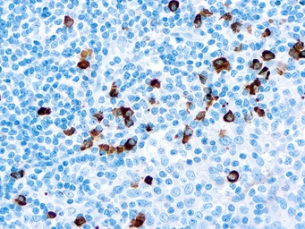
GTX20937 IHC-P Image

IHC-P analysis of human tonsil tissue using GTX20937 Human IgA antibody (ready-to-use).

1 / 1
Rabbit Anti-Human IgA antibody (ready-to-use). GTX20937
  • Host
    Rabbit
  • Clonality
    Polyclonal
  • Isotype
    IgG
  • Applications
    IHC-P
  • Reactivity
    Human
See all Human IgA products