Rabbit Anti-Human IgA antibody

Cat. No. GTX22411
Cat. No.  GTX22411
Rabbit Anti-Human IgA antibody. GTX22411
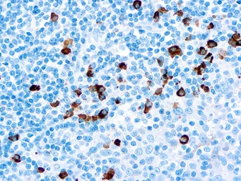
GTX22411 IHC-P Image

IHC-P analysis of human tonsil tissue using GTX22411 Human IgA antibody.

1 / 1
Rabbit Anti-Human IgA antibody. GTX22411
  • Host
    Rabbit
  • Clonality
    Polyclonal
  • Isotype
    IgG
  • Applications
    IHC-P
  • Reactivity
    Human
See all Human IgA products