Rabbit Anti-Human IgA1 antibody [RM124]

Cat. No. GTX60869
Cat. No.  GTX60869
Rabbit Anti-Human IgA1 antibody [RM124]. GTX60869
GTX60869 ELISA Image

Sandwich ELISA analysis of human IgA1 using GTX60869 Human IgA1 antibody [RM124] as the capture antibody (100ng/well) and GTX60920 Human Ig Light Chains antibody [RM129] (Biotin) as the detection antibody.

1 / 5
Rabbit Anti-Human IgA1 antibody [RM124]. GTX60869
GTX60869 ELISA Image

ELISA analysis of different amount of immunogen proteins using serial diluted GTX60869 Human IgA1 antibody [RM124].

2 / 5
Rabbit Anti-Human IgA1 antibody [RM124]. GTX60869
GTX60869 ELISA Image

Sandwich ELISA analysis of human plasma using GTX60869 Human IgA1 antibody [RM124] as the capture antibody (100ng/well) and GTX60920 Human Ig Light Chains antibody [RM129] (Biotin) as the detection antibody.

3 / 5
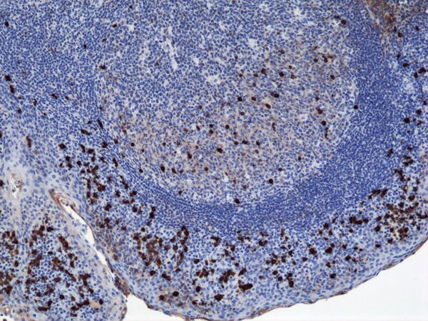
Rabbit Anti-Human IgA1 antibody [RM124]. GTX60869
GTX60869 IHC Image

IHC analysis of human tonsil tissue using GTX60869 Human IgA1 antibody [RM124].

4 / 5
Rabbit Anti-Human IgA1 antibody [RM124]. GTX60869
GTX60869 ELISA Image

ELISA analysis of human immunoglobulins (50 ng/well) using GTX60869 Human IgA1 antibody [RM124]. No cross reactivity with Human IgG, IgM, IgD, or IgE.
Dilution : 200 ng/mL, 50 ng/mL, or 10 ng/mL of RM124 was used as the primary antibody.

5 / 5
Rabbit Anti-Human IgA1 antibody [RM124]. GTX60869
Rabbit Anti-Human IgA1 antibody [RM124]. GTX60869
Rabbit Anti-Human IgA1 antibody [RM124]. GTX60869
Rabbit Anti-Human IgA1 antibody [RM124]. GTX60869
Rabbit Anti-Human IgA1 antibody [RM124]. GTX60869
  • Host
    Rabbit
  • Clonality
    Monoclonal
  • Clone Name
    RM124
  • Isotype
    IgG
  • Applications
    WB ICC/IF IHC-P FCM ELISA IHC Sandwich ELISA
  • Reactivity
    Human
See all Human IgA1 products