Rabbit Anti-Human IgG antibody (ready-to-use)

Cat. No. GTX20938
Cat. No.  GTX20938
Rabbit Anti-Human IgG antibody (ready-to-use). GTX20938
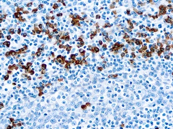
GTX20938 IHC-P Image

IHC-P analysis of human tonsil tissue using GTX20938 Human IgG antibody (ready-to-use).

1 / 1
Rabbit Anti-Human IgG antibody (ready-to-use). GTX20938
  • Host
    Rabbit
  • Clonality
    Polyclonal
  • Isotype
    IgG
  • Applications
    IHC-P
  • Reactivity
    Human
See all Human IgG products