Rabbit Anti-Human lambda light chain antibody [RM127]

Cat. No. GTX60872
Cat. No.  GTX60872
Rabbit Anti-Human lambda light chain antibody [RM127]. GTX60872
GTX60872 ELISA Image

ELISA analysis of human immunoglobulins using GTX60872 Human Lambda Light Chain antibody [RM127].

1 / 4
Rabbit Anti-Human lambda light chain antibody [RM127]. GTX60872
GTX60872 ELISA Image

ELISA analysis of monkey IgG using GTX60872 Human Lambda Light Chain antibody [RM127] and positive control Anti-monkey IgG antibody. The result shows that the GTX60872 does not react to monkey IgG.

2 / 4
Rabbit Anti-Human lambda light chain antibody [RM127]. GTX60872
GTX60872 ELISA Image

ELISA analysis of different amount of immunogen proteins using serial diluted GTX60872 Human Lambda Light Chain antibody [RM127].

3 / 4
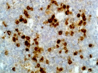
Rabbit Anti-Human lambda light chain antibody [RM127]. GTX60872
GTX60872 IHC-P Image

IHC-P analysis of human tonsil tissue using GTX60872 Human Lambda Light Chain antibody [RM127].

4 / 4
Rabbit Anti-Human lambda light chain antibody [RM127]. GTX60872
Rabbit Anti-Human lambda light chain antibody [RM127]. GTX60872
Rabbit Anti-Human lambda light chain antibody [RM127]. GTX60872
Rabbit Anti-Human lambda light chain antibody [RM127]. GTX60872
  • Host
    Rabbit
  • Clonality
    Monoclonal
  • Clone Name
    RM127
  • Isotype
    IgG
  • Applications
    WB ICC/IF IHC-P FCM ELISA
  • Reactivity
    Human
See all Human lambda light chain products