Rac1 + CDC42 (phospho Ser71) antibody

Cat. No. GTX25482
Cat. No.  GTX25482
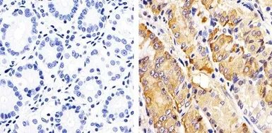
Anti-Rac1 + CDC42 (phospho Ser71) antibody used in IHC (Paraffin sections) (IHC-P). GTX25482
GTX25482 IHC-P Image

IHC-P analysis of human stomach tissue using GTX25482 RAC1 + CDC42 (phospho Ser71) antibody.
Right : Primary antibody
Left : Negative control without primary antibody
Antigen retrieval : 10mM sodium citrate (pH 6.0), microwaved for 8-15 min
Dilution : 1:20

1 / 2
Anti-Rac1 + CDC42 (phospho Ser71) antibody used in Western Blot (WB). GTX25482
GTX25482 WB Image

WB (peptide competition) analysis of A431 cells stimulated with EGF (Lane 2-6) using GTX25482 RAC1 + CDC42 (phospho Ser71) antibody prior incubated with the non-phosphopeptide corresponding to the immunogen (Lane 3), a generic phosphoserine containing peptide (Lane 4), or, the phosphopeptide immunogen (Lane 5). The data show that only the immunogen phosphopeptide blocks the signal, demonstrating the specificity of the antibody. The membrane treated with phosphatase (Lane 6) eliminates the signal further verifying that the antibody is phospho-specific.

2 / 2
Anti-Rac1 + CDC42 (phospho Ser71) antibody used in IHC (Paraffin sections) (IHC-P). GTX25482
Anti-Rac1 + CDC42 (phospho Ser71) antibody used in Western Blot (WB). GTX25482
  • Host
    Rabbit
  • Clonality
    Polyclonal
  • Isotype
    IgG
  • Applications
    WB IHC-P FCM
  • Reactivity
    Human
See all Rac1 + CDC42 products