Rad21 antibody

Cat. No. GTX106012
Cat. No.  GTX106012
Anti-Rad21 antibody used in Western Blot (WB). GTX106012
GTX106012 WB Image

Various whole cell extracts (30 μg) were separated by 5% SDS-PAGE, and the membrane was blotted with Rad21 antibody (GTX106012) diluted at 1:1000. The HRP-conjugated anti-rabbit IgG antibody (GTX213110-01) was used to detect the primary antibody.

1 / 9
Anti-Rad21 antibody used in Immunocytochemistry/ Immunofluorescence (ICC/IF). GTX106012
GTX106012 ICC/IF Image

Rad21 antibody detects Rad21 protein at nucleus by immunofluorescent analysis.
Sample: HeLa cells were fixed in 4% paraformaldehyde at RT for 15 min.
Green: Rad21 stained by Rad21 antibody (GTX106012) diluted at 1:1000.
Red: phalloidin, a cytoskeleton marker, diluted at 1:100.

2 / 9
Anti-Rad21 antibody used in IHC (Paraffin sections) (IHC-P). GTX106012
GTX106012 IHC-P Image

Immunohistochemical analysis of paraffin-embedded HBL435 xenograft, using RAD21(GTX106012) antibody at 1:750 dilution.
Antigen Retrieval: Trilogy™ (EDTA based, pH 8.0) buffer, 15min

3 / 9
Anti-Rad21 antibody used in Immunoprecipitation (IP). GTX106012
GTX106012 IP Image

Immunoprecipitation of RAD21 protein from Jurkat whole cell extracts using 5 μg of RAD21 antibody (GTX106012).
Western blot analysis was performed using RAD21 antibody (GTX106012).
EasyBlot anti-Rabbit IgG (GTX221666-01) was used as a secondary reagent.

4 / 9
Anti-Rad21 antibody used in IHC (Paraffin sections) (IHC-P). GTX106012
GTX106012 IHC-P Image

Rad21 antibody detects Rad21 protein at nucleus by immunohistochemical analysis.
Sample: Paraffin-embedded mouse testis.
Rad21 stained by Rad21 antibody (GTX106012) diluted at 1:500.
Antigen Retrieval: Citrate buffer, pH 6.0, 15 min

5 / 9
Anti-Rad21 antibody used in IHC (Paraffin sections) (IHC-P). GTX106012
GTX106012 IHC-P Image

Immunohistochemical analysis of paraffin-embedded C2C12 xenograft, using RAD21(GTX106012) antibody at 1:750 dilution.
Antigen Retrieval: Trilogy™ (EDTA based, pH 8.0) buffer, 15min

6 / 9
Anti-Rad21 antibody used in IHC (Paraffin sections) (IHC-P). GTX106012
GTX106012 IHC-P Image

RAD21 antibody detects RAD21 protein at nucleus in human lung papillary adenocarcinoma by immunohistochemical analysis.
Sample: Paraffin-embedded human lung papillary adenocarcinoma.
RAD21 antibody (GTX106012) diluted at 1:250.

7 / 9
Anti-Rad21 antibody used in IHC (Paraffin sections) (IHC-P). GTX106012
GTX106012 IHC-P Image

Rad21 antibody detects Rad21 protein at nucleus by immunohistochemical analysis.
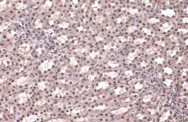
Sample: Paraffin-embedded rat kidney.
Rad21 stained by Rad21 antibody (GTX106012) diluted at 1:500.
Antigen Retrieval: Citrate buffer, pH 6.0, 15 min

8 / 9
Anti-Rad21 antibody used in Western Blot (WB). GTX106012
GTX106012 WB Image

Various whole cell extracts (30 μg) were separated by 5% SDS-PAGE, and the membrane was blotted with Rad21 antibody (GTX106012) diluted at 1:1000. The HRP-conjugated anti-rabbit IgG antibody (GTX213110-01) was used to detect the primary antibody.

9 / 9
Anti-Rad21 antibody used in Western Blot (WB). GTX106012
Anti-Rad21 antibody used in Immunocytochemistry/ Immunofluorescence (ICC/IF). GTX106012
Anti-Rad21 antibody used in IHC (Paraffin sections) (IHC-P). GTX106012
Anti-Rad21 antibody used in Immunoprecipitation (IP). GTX106012
Anti-Rad21 antibody used in IHC (Paraffin sections) (IHC-P). GTX106012
Anti-Rad21 antibody used in IHC (Paraffin sections) (IHC-P). GTX106012
Anti-Rad21 antibody used in IHC (Paraffin sections) (IHC-P). GTX106012
Anti-Rad21 antibody used in IHC (Paraffin sections) (IHC-P). GTX106012
Anti-Rad21 antibody used in Western Blot (WB). GTX106012
  • Host
    Rabbit
  • Clonality
    Polyclonal
  • Isotype
    IgG
  • Applications
    WB ICC/IF IHC-P IP ChIP assay
  • Reactivity
    Human, Mouse, Rat
See all Rad21 products