Rad51 antibody [14B4]
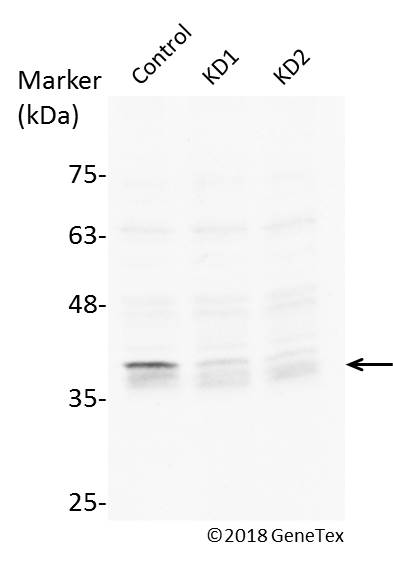
![Anti-Rad51 antibody [14B4] used in Western Blot (WB). GTX70230](/upload/website/prouct_img/middle/GTX70230/GTX70230_41701_20160908_WB_shRNA_watermark_w_23061221_955.webp)
Non-transfected (–) and transfected (+) 293T whole cell extracts (30 μg) were separated by 10% SDS-PAGE, and the membrane was blotted with Rad51 antibody [14B4] (GTX70230) diluted at 1:500. The HRP-conjugated anti-mouse IgG antibody (GTX213111-01) was used to detect the primary antibody.
![Anti-Rad51 antibody [14B4] used in Immunoprecipitation (IP). GTX70230](/upload/website/prouct_img/middle/GTX70230/GTX70230_IP_w_23061221_215.webp)
Mouse anti-RAD51 14B4 antibody (GTX70230) was used in IP assay (immunoprecipitation) using HeLa cell extract prepared with lysis 180 buffer (40 mM Tris-HCl pH8.0, 180 mM NaCl, 1 mMEDTA, 0.5% NP-40).
Rabbit anti-RAD51 antibody (GTX100469) was used for subsequent WB detection of immunoprecipated RAD51.
Whole cell extract was used as input.
![Anti-Rad51 antibody [14B4] used in Western Blot (WB). GTX70230](/upload/website/prouct_img/middle/GTX70230/GTX70230_45278_20240112_WB_25092519_486.webp)
Various whole cell extracts (30 μg) were separated by 10% SDS-PAGE, and the membrane was blotted with Rad51 antibody [14B4] (GTX70230) diluted at 1:500. The HRP-conjugated anti-rabbit IgG antibody (GTX213110-01) was used to detect the primary antibody, and the signal was developed with Trident femto Western HRP Substrate.
![Anti-Rad51 antibody [14B4] used in Western Blot (WB). GTX70230](/upload/website/prouct_img/middle/GTX70230/GTX70230_42618_20170330_WB_M_w_23061221_258.webp)
Various whole cell extracts (30 μg) were separated by 10% SDS-PAGE, and the membrane was blotted with Rad51 antibody [14B4] (GTX70230) diluted at 1:500. The HRP-conjugated anti-mouset IgG antibody (GTX213111-01) was used to detect the primary antibody, and the signal was developed with Trident ECL plus-Enhanced.
![Anti-Rad51 antibody [14B4] used in Immunocytochemistry/ Immunofluorescence (ICC/IF). GTX70230](/upload/website/prouct_img/middle/GTX70230/GTX70230_44403_20211126_ICC_IF_treatment_Doxorubicin_w_23061221_636.webp)
Rad51 antibody [14B4] detects Rad51 protein at nuclear foci by immunofluorescent analysis.Sample: Mock and treated HeLa cells were fixed in 4% paraformaldehyde at RT for 15 min.Green: Rad51 stained by Rad51 antibody [14B4] (GTX70230) diluted at 1:500.Blue: Fluoroshield with DAPI (GTX30920).
![Anti-Rad51 antibody [14B4] used in Immunocytochemistry/ Immunofluorescence (ICC/IF). GTX70230](/upload/website/prouct_img/middle/GTX70230/GTX70230_IFA_w_23061221_615.webp)
Immunofluorecent staning of RAD51 nuclear foci in U2OS cells using RAD51 14B4 antibody (GTX70230).
Cells were pre-extracted with CSK buffer before fixation with 4% PFA.
RAD51 14B4 was used at 1:1000 dultion. DAPI was used to counterstain the nucleus.
Scale bar, 10 mciro-meter.
![Anti-Rad51 antibody [14B4] used in Western Blot (WB). GTX70230](/upload/website/prouct_img/middle/GTX70230/GTX70230_42618_20170330_WB_R_w_23061221_522.webp)
Various whole cell extracts (30 μg) were separated by 10% SDS-PAGE, and the membrane was blotted with Rad51 antibody [14B4] (GTX70230) diluted at 1:500. The HRP-conjugated anti-mouset IgG antibody (GTX213111-01) was used to detect the primary antibody, and the signal was developed with Trident ECL plus-Enhanced.
![Anti-Rad51 antibody [14B4] used in Western Blot (WB). GTX70230](/upload/website/prouct_img/middle/GTX70230/GTX70230_20240411_citeab_WB_2122_24041502_155.webp)
The data was published in the journal Mol Oncol in 2017. PMID: 28173629
![Anti-Rad51 antibody [14B4] used in Western Blot (WB). GTX70230](/upload/website/prouct_img/middle/GTX70230/GTX70230_20240411_citeab_WB_2113_24041502_849.webp)
The data was published in the journal Mol Oncol in 2017. PMID: 28173629
![Anti-Rad51 antibody [14B4] used in Western Blot (WB). GTX70230](/upload/website/prouct_img/middle/GTX70230/GTX70230_20240411_citeab_WB_2123_24041502_288.webp)
The data was published in the journal Mol Oncol in 2017. PMID: 28173629
![Anti-Rad51 antibody [14B4] used in Immunocytochemistry/ Immunofluorescence (ICC/IF). GTX70230](/upload/website/prouct_img/middle/GTX70230/GTX70230_20240411_citeab_ICCIF_1958_24041502_740.webp)
The data was published in the journal PLoS One in 2014. PMID: 25310191
![Anti-Rad51 antibody [14B4] used in IHC (Paraffin sections) (IHC-P). GTX70230](/upload/website/prouct_img/middle/GTX70230/GTX70230_20240411_citeab_IHC-P_529_24041501_540.webp)
The data was published in the journal Int J Radiat Oncol Biol Phys in 2016.PMID: 27020103
![Anti-Rad51 antibody [14B4] used in Immunocytochemistry/ Immunofluorescence (ICC/IF). GTX70230](/upload/website/prouct_img/middle/GTX70230/GTX70230_20240411_citeab_ICCIF_531_24041501_534.webp)
The data was published in the journal Nat Commun in 2016.PMID: 26727879
![Anti-Rad51 antibody [14B4] used in Western Blot (WB). GTX70230](/upload/website/prouct_img/middle/GTX70230/GTX70230_20240411_citeab_WB_532_24041501_797.webp)
The data was published in the journal Elife in 2018.PMID: 29985131
![Anti-Rad51 antibody [14B4] used in Western Blot (WB). GTX70230](/upload/website/prouct_img/middle/GTX70230/GTX70230_41701_20160908_WB_shRNA_watermark_w_23061221_955.webp)
![Anti-Rad51 antibody [14B4] used in Immunoprecipitation (IP). GTX70230](/upload/website/prouct_img/middle/GTX70230/GTX70230_IP_w_23061221_215.webp)
![Anti-Rad51 antibody [14B4] used in Western Blot (WB). GTX70230](/upload/website/prouct_img/middle/GTX70230/GTX70230_45278_20240112_WB_25092519_486.webp)
![Anti-Rad51 antibody [14B4] used in Western Blot (WB). GTX70230](/upload/website/prouct_img/middle/GTX70230/GTX70230_42618_20170330_WB_M_w_23061221_258.webp)
![Anti-Rad51 antibody [14B4] used in IHC (Paraffin sections) (IHC-P). GTX70230](/upload/website/prouct_img/middle/GTX70230/GTX70230_IHC_w_23061221_955.webp)
![Anti-Rad51 antibody [14B4] used in Immunocytochemistry/ Immunofluorescence (ICC/IF). GTX70230](/upload/website/prouct_img/middle/GTX70230/GTX70230_44403_20211126_ICC_IF_treatment_Doxorubicin_w_23061221_636.webp)
![Anti-Rad51 antibody [14B4] used in Immunocytochemistry/ Immunofluorescence (ICC/IF). GTX70230](/upload/website/prouct_img/middle/GTX70230/GTX70230_IFA_w_23061221_615.webp)
![Anti-Rad51 antibody [14B4] used in Western Blot (WB). GTX70230](/upload/website/prouct_img/middle/GTX70230/GTX70230_42618_20170330_WB_R_w_23061221_522.webp)
![Anti-Rad51 antibody [14B4] used in Immunocytochemistry/ Immunofluorescence (ICC/IF). GTX70230](/upload/website/prouct_img/middle/GTX70230/GTX70230_20240411_citeab_ICCIF_3255_24041502_982.webp)
![Anti-Rad51 antibody [14B4] used in Immunocytochemistry/ Immunofluorescence (ICC/IF). GTX70230](/upload/website/prouct_img/middle/GTX70230/GTX70230_20240411_citeab_ICCIF_3254_24041502_781.webp)
![Anti-Rad51 antibody [14B4] used in Western Blot (WB). GTX70230](/upload/website/prouct_img/middle/GTX70230/GTX70230_20240411_citeab_WB_2859_24041502_490.webp)
![Anti-Rad51 antibody [14B4] used in Western Blot (WB). GTX70230](/upload/website/prouct_img/middle/GTX70230/GTX70230_20240411_citeab_WB_2854_24041502_203.webp)
![Anti-Rad51 antibody [14B4] used in Western Blot (WB). GTX70230](/upload/website/prouct_img/middle/GTX70230/GTX70230_20240411_citeab_WB_2843_24041502_785.webp)
![Anti-Rad51 antibody [14B4] used in Western Blot (WB). GTX70230](/upload/website/prouct_img/middle/GTX70230/GTX70230_20240411_citeab_WB_2830_24041502_713.webp)
![Anti-Rad51 antibody [14B4] used in Immunocytochemistry/ Immunofluorescence (ICC/IF). GTX70230](/upload/website/prouct_img/middle/GTX70230/GTX70230_20240411_citeab_ICCIF_533_24041501_156.webp)
![Anti-Rad51 antibody [14B4] used in Immunohistochemistry (IHC). GTX70230](/upload/website/prouct_img/middle/GTX70230/GTX70230_20240411_citeab_IHC_530_24041501_924.webp)
![Anti-Rad51 antibody [14B4] used in Western Blot (WB). GTX70230](/upload/website/prouct_img/middle/GTX70230/GTX70230_20240411_citeab_WB_385_24041501_771.webp)
![Anti-Rad51 antibody [14B4] used in Western Blot (WB). GTX70230](/upload/website/prouct_img/middle/GTX70230/GTX70230_20240411_citeab_WB_2122_24041502_155.webp)
![Anti-Rad51 antibody [14B4] used in Western Blot (WB). GTX70230](/upload/website/prouct_img/middle/GTX70230/GTX70230_20240411_citeab_WB_2113_24041502_849.webp)
![Anti-Rad51 antibody [14B4] used in Western Blot (WB). GTX70230](/upload/website/prouct_img/middle/GTX70230/GTX70230_20240411_citeab_WB_2123_24041502_288.webp)
![Anti-Rad51 antibody [14B4] used in Immunocytochemistry/ Immunofluorescence (ICC/IF). GTX70230](/upload/website/prouct_img/middle/GTX70230/GTX70230_20240411_citeab_ICCIF_1958_24041502_740.webp)
![Anti-Rad51 antibody [14B4] used in IHC (Paraffin sections) (IHC-P). GTX70230](/upload/website/prouct_img/middle/GTX70230/GTX70230_20240411_citeab_IHC-P_529_24041501_540.webp)
![Anti-Rad51 antibody [14B4] used in Immunocytochemistry/ Immunofluorescence (ICC/IF). GTX70230](/upload/website/prouct_img/middle/GTX70230/GTX70230_20240411_citeab_ICCIF_531_24041501_534.webp)
![Anti-Rad51 antibody [14B4] used in Western Blot (WB). GTX70230](/upload/website/prouct_img/middle/GTX70230/GTX70230_20240411_citeab_WB_532_24041501_797.webp)
-
HostMouse
-
ClonalityMonoclonal
-
Clone Name14B4
-
IsotypeIgG2a
-
ApplicationsWB ICC/IF IHC-P IP IHC PLA
-
ReactivityHuman, Mouse, Rat, Chicken