Rad51 antibody

Cat. No. GTX118249
Cat. No.  GTX118249
Anti-Rad51 antibody used in Western Blot (WB). GTX118249
GTX118249 WB Image

Non-transfected (–) and transfected (+) 293T whole cell extracts (30 μg) were separated by 10% SDS-PAGE, and the membrane was blotted with Rad51 antibody (GTX118249) diluted at 1:1000.

1 / 7
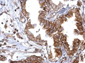
Anti-Rad51 antibody used in IHC (Paraffin sections) (IHC-P). GTX118249
GTX118249 IHC-P Image

Rad51 antibody detects Rad51 protein at cytosol and nucleus on human breast carcinoma by immunohistochemical analysis.
Sample: Paraffin-embedded human breast carcinoma.
Rad51 antibody (GTX118249) dilution: 1:500.

Antigen Retrieval: Trilogy™ (EDTA based, pH 8.0) buffer, 15min

2 / 7
Anti-Rad51 antibody used in Western Blot (WB). GTX118249
GTX118249 WB Image

Various whole cell extracts (30 μg) were separated by 10% SDS-PAGE, and the membrane was blotted with Rad51 antibody (GTX118249) diluted at 1:500.

3 / 7
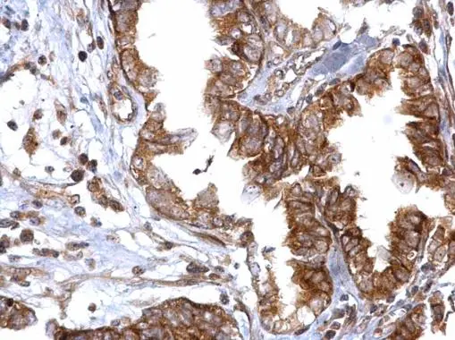
Anti-Rad51 antibody used in IHC (Paraffin sections) (IHC-P). GTX118249
GTX118249 IHC-P Image

Rad51 antibody detects Rad51 protein at cytosol on human ovarian carcinoma by immunohistochemical analysis.
Sample: Paraffin-embedded human ovarian carcinoma.
Rad51 antibody (GTX118249) dilution: 1:500.

Antigen Retrieval: Trilogy™ (EDTA based, pH 8.0) buffer, 15min

4 / 7
Anti-Rad51 antibody used in Immunoprecipitation (IP). GTX118249
GTX118249 IP Image

Rad51 antibody immunoprecipitates Rad51 protein in IP experiments.
IP samples: Jurkat whole cell extract
A. 40 μg Jurkat whole cell extract
B. Control with 4 μg of preimmune Rabbit IgG
C. Immunoprecipitation of Rad51 protein by 4 μg Rad51 antibody (GTX118249)
5 % SDS-PAGE
The immunoprecipitated Rad51 protein was detected by Rad51 antibody (GTX118249) diluted at 1:500.
[EasyBlot anti-rabbit IgG (GTX221666-01) was used as a secondary reagent]

5 / 7
Anti-Rad51 antibody used in Western Blot (WB). GTX118249
GTX118249 WB Image

Sample (30 ug of whole cell lysate)
A: JurKat
10% SDS PAGE
GTX118249 diluted at 1:1000

6 / 7
Anti-Rad51 antibody used in IHC (Frozen sections) (IHC-Fr). GTX118249
GTX118249 IHC-Fr Image

The data was published in the journal Oncotarget in 2018. PMID: 29416789

7 / 7
Anti-Rad51 antibody used in Western Blot (WB). GTX118249
Anti-Rad51 antibody used in IHC (Paraffin sections) (IHC-P). GTX118249
Anti-Rad51 antibody used in Western Blot (WB). GTX118249
Anti-Rad51 antibody used in IHC (Paraffin sections) (IHC-P). GTX118249
Anti-Rad51 antibody used in Immunoprecipitation (IP). GTX118249
Anti-Rad51 antibody used in Western Blot (WB). GTX118249
Anti-Rad51 antibody used in IHC (Frozen sections) (IHC-Fr). GTX118249
  • Host
    Rabbit
  • Clonality
    Polyclonal
  • Isotype
    IgG
  • Applications
    WB IHC-P IHC-Fr IP
  • Reactivity
    Human, Rat
See all Rad51 products