Rad9 (phospho Ser328) antibody

Cat. No. GTX50885
Cat. No.  GTX50885
Anti-Rad9 (phospho Ser328) antibody used in Dot blot (Dot). GTX50885
GTX50885 Dot Image

Dot Blot analysis of Rad9 phospho- or Non phospho-peptide using GTX50885 Rad9 (phospho Ser328) antibody. 50ng of Phospho-peptide or Non phospho-peptide per dot were adsorbed.
Dilution : 0.5μg/ml

1 / 3
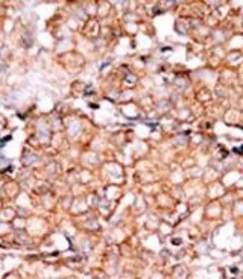
Anti-Rad9 (phospho Ser328) antibody used in IHC (Paraffin sections) (IHC-P). GTX50885
GTX50885 IHC-P Image

IHC-P analysis of human breast carcinoma using GTX50885 Rad9 (phospho Ser328) antibody.

2 / 3
Anti-Rad9 (phospho Ser328) antibody used in Western Blot (WB). GTX50885
GTX50885 WB Image

WB analysis of HL-60 and Y79 cell lysate using GTX50885 Rad9 (phospho Ser328) antibody.

3 / 3
Anti-Rad9 (phospho Ser328) antibody used in Dot blot (Dot). GTX50885
Anti-Rad9 (phospho Ser328) antibody used in IHC (Paraffin sections) (IHC-P). GTX50885
Anti-Rad9 (phospho Ser328) antibody used in Western Blot (WB). GTX50885
  • Host
    Rabbit
  • Clonality
    Polyclonal
  • Isotype
    IgG
  • Applications
    WB IHC-P Dot
  • Reactivity
    Human
See all Rad9 products