Raf1 antibody [4G4]

Cat. No. GTX60561
Cat. No.  GTX60561
Anti-Raf1 antibody [4G4] used in Flow cytometry (FCM). GTX60561
GTX60561 FCM Image

FACS analysis of MCF-7 cells using GTX60561 Raf1 antibody [4G4].
Green : Raf1
Red : negative control

1 / 5
Anti-Raf1 antibody [4G4] used in Western Blot (WB). GTX60561
GTX60561 WB Image

WB analysis of human RAF1 (AA: 198-407) recombinant protein using GTX60561 Raf1 antibody [4G4].

2 / 5
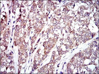
Anti-Raf1 antibody [4G4] used in IHC (Paraffin sections) (IHC-P). GTX60561
GTX60561 IHC-P Image

IHC-P analysis of bladder cancer tissue using GTX60561 Raf1 antibody [4G4].

3 / 5
Anti-Raf1 antibody [4G4] used in ELISA (ELISA). GTX60561
GTX60561 ELISA Image

ELISA analysis of antigen using GTX60561 Raf1 antibody [4G4].
Black : Control antigen 100ng
Purple : Antigen 10ng
Blue : Antigen 50ng
Red : Antigen 100ng

4 / 5
Anti-Raf1 antibody [4G4] used in Western Blot (WB). GTX60561
GTX60561 WB Image

WB analysis of HeLa (1), A431 (2), HepG (3), and SW620 (4)cell lysate using GTX60561 Raf1 antibody [4G4].

5 / 5
Anti-Raf1 antibody [4G4] used in Flow cytometry (FCM). GTX60561
Anti-Raf1 antibody [4G4] used in Western Blot (WB). GTX60561
Anti-Raf1 antibody [4G4] used in IHC (Paraffin sections) (IHC-P). GTX60561
Anti-Raf1 antibody [4G4] used in ELISA (ELISA). GTX60561
Anti-Raf1 antibody [4G4] used in Western Blot (WB). GTX60561
  • Host
    Mouse
  • Clonality
    Monoclonal
  • Clone Name
    4G4
  • Isotype
    IgG1
  • Applications
    WB IHC-P FCM ELISA
  • Reactivity
    Human
See all Raf1 products