RALBP1 antibody

Cat. No. GTX55774
Cat. No.  GTX55774
Anti-RALBP1 antibody used in Western Blot (WB). GTX55774
GTX55774 WB Image

WB analysis of normal (control) and knockout (KO) HeLa cell lysate using GTX55774 RalBP1 antibody.
Dilution : 1:500
Loading : 25μg per lane

1 / 4
Anti-RALBP1 antibody used in Western Blot (WB). GTX55774
GTX55774 WB Image

WB analysis of various sample lysates using GTX55774 RalBP1 antibody.
Dilution : 1:500
Loading : 25μg per lane

2 / 4
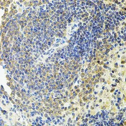
Anti-RALBP1 antibody used in IHC (Paraffin sections) (IHC-P). GTX55774
GTX55774 IHC-P Image

IHC-P analysis of rat spleen tissue using GTX55774 RalBP1 antibody.
Dilution : 1:100

3 / 4
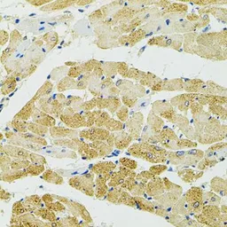
Anti-RALBP1 antibody used in IHC (Paraffin sections) (IHC-P). GTX55774
GTX55774 IHC-P Image

IHC-P analysis of rat heart tissue using GTX55774 RalBP1 antibody.
Dilution : 1:100

4 / 4
Anti-RALBP1 antibody used in Western Blot (WB). GTX55774
Anti-RALBP1 antibody used in Western Blot (WB). GTX55774
Anti-RALBP1 antibody used in IHC (Paraffin sections) (IHC-P). GTX55774
Anti-RALBP1 antibody used in IHC (Paraffin sections) (IHC-P). GTX55774
  • Host
    Rabbit
  • Clonality
    Polyclonal
  • Isotype
    IgG
  • Applications
    WB IHC-P
  • Reactivity
    Human, Mouse, Rat
See all RalBP1 products