RanBP3 antibody [N3C2], Internal

Cat. No. GTX115096
Cat. No.  GTX115096
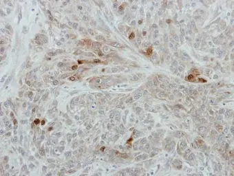
Anti-RanBP3 antibody [N3C2], Internal used in IHC (Paraffin sections) (IHC-P). GTX115096
GTX115096 IHC-P Image

Immunohistochemical analysis of paraffin-embedded A549 xenograft, using Ran BP3(GTX115096) antibody at 1:100 dilution.
Antigen Retrieval: Citrate buffer, pH 6.0, 15 min

1 / 2
Anti-RanBP3 antibody [N3C2], Internal used in Western Blot (WB). GTX115096
GTX115096 WB Image

Sample (30 ug of whole cell lysate)
A: JurKat
B: Raji
10% SDS PAGE
GTX115096 diluted at 1:1000

2 / 2
Anti-RanBP3 antibody [N3C2], Internal used in IHC (Paraffin sections) (IHC-P). GTX115096
Anti-RanBP3 antibody [N3C2], Internal used in Western Blot (WB). GTX115096
  • Host
    Rabbit
  • Clonality
    Polyclonal
  • Isotype
    IgG
  • Applications
    WB IHC-P
  • Reactivity
    Human
See all RanBP3 products