Ribophorin I antibody

Cat. No. GTX33466
Cat. No.  GTX33466
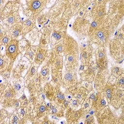
Anti-Ribophorin I antibody used in IHC (Paraffin sections) (IHC-P). GTX33466
GTX33466 IHC-P Image

IHC-P analysis of human liver cancer tissue using GTX33466 Ribophorin I antibody.
Dilution : 1:100

1 / 5
Anti-Ribophorin I antibody used in IHC (Paraffin sections) (IHC-P). GTX33466
GTX33466 IHC-P Image

IHC-P analysis of human liver damage tissue using GTX33466 Ribophorin I antibody.
Dilution : 1:100

2 / 5
Anti-Ribophorin I antibody used in Western Blot (WB). GTX33466
GTX33466 WB Image

WB analysis of various sample lysates using GTX33466 Ribophorin I antibody.
Dilution : 1:1000
Loading : 25μg per lane

3 / 5
Anti-Ribophorin I antibody used in IHC (Paraffin sections) (IHC-P). GTX33466
GTX33466 IHC-P Image

IHC-P analysis of human gastric cancer tissue using GTX33466 Ribophorin I antibody.
Dilution : 1:100

4 / 5
Anti-Ribophorin I antibody used in IHC (Paraffin sections) (IHC-P). GTX33466
GTX33466 IHC-P Image

IHC-P analysis of rat kidney tissue using GTX33466 Ribophorin I antibody.
Dilution : 1:100

5 / 5
Anti-Ribophorin I antibody used in IHC (Paraffin sections) (IHC-P). GTX33466
Anti-Ribophorin I antibody used in IHC (Paraffin sections) (IHC-P). GTX33466
Anti-Ribophorin I antibody used in Western Blot (WB). GTX33466
Anti-Ribophorin I antibody used in IHC (Paraffin sections) (IHC-P). GTX33466
Anti-Ribophorin I antibody used in IHC (Paraffin sections) (IHC-P). GTX33466
  • Host
    Rabbit
  • Clonality
    Polyclonal
  • Isotype
    IgG
  • Applications
    WB IHC-P
  • Reactivity
    Human, Rat
See all Ribophorin I products