Ribosome binding protein 1 antibody [C3], C-term

Cat. No. GTX101844
Cat. No.  GTX101844
Anti-Ribosome binding protein 1 antibody [C3], C-term used in Western Blot (WB). GTX101844
GTX101844 WB Image

Sample (30 μg of whole cell lysate)
A:NIH-3T3
5% SDS PAGE
GTX101844 diluted at 1:1000
The HRP-conjugated anti-rabbit IgG antibody (GTX213110-01) was used to detect the primary antibody.

1 / 5
Anti-Ribosome binding protein 1 antibody [C3], C-term used in Immunocytochemistry/ Immunofluorescence (ICC/IF). GTX101844
GTX101844 ICC/IF Image

Confocal immunofluorescence analysis (Olympus FV10i) of paraformaldehyde-fixed HeLa, using Ribosome binding protein 1(GTX101844) antibody (Green) at 1:500 dilution. Alpha-tubulin filaments were labeled with GTX11304 (Red) at 1:500.

2 / 5
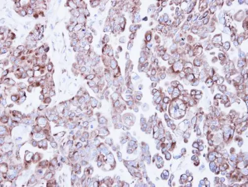
Anti-Ribosome binding protein 1 antibody [C3], C-term used in IHC (Paraffin sections) (IHC-P). GTX101844
GTX101844 IHC-P Image

Immunohistochemical analysis of paraffin-embedded OVCAR3 xenograft, using Ribosome binding protein 1(GTX101844) antibody at 1:500 dilution.
Antigen Retrieval: Trilogy™ (EDTA based, pH 8.0) buffer, 15min

3 / 5
Anti-Ribosome binding protein 1 antibody [C3], C-term used in Immunocytochemistry/ Immunofluorescence (ICC/IF). GTX101844
GTX101844 ICC/IF Image

Confocal immunofluorescence analysis (Olympus FV10i) of methanol-fixed HeLa, using Ribosome binding protein 1(GTX101844) antibody (Green) at 1:500 dilution. Alpha-tubulin filaments were labeled with GTX11304 (Red) at 1:2500.

4 / 5
Anti-Ribosome binding protein 1 antibody [C3], C-term used in Western Blot (WB). GTX101844
GTX101844 WB Image

Ribosome binding protein 1 antibody validation by siRNA knock-down.
Upperpanel: Ribosome binding protein 1 antibody GTX101844
Lower panel: Vinculin antibody (GTX109749)
A. 30 μg HepG2 whole cell lysate/extract
B. 30 μg whole cell lysate/extract of RRBP1 siRNA#1-transfected HepG2 cells
C. 30 μg whole cell lysate/extract of RRBP1 siRNA#2-transfected HepG2 cells
5% SDS-PAGE
Ribosome binding protein 1 antibody (GTX101844) dilution: 1:500
Vinculin antibody (GTX109749) dilution: 1:1000
The HRP-conjugated anti-rabbit IgG antibody (GTX213110-01) was used to detect the primary antibody.

5 / 5
Anti-Ribosome binding protein 1 antibody [C3], C-term used in Western Blot (WB). GTX101844
Anti-Ribosome binding protein 1 antibody [C3], C-term used in Immunocytochemistry/ Immunofluorescence (ICC/IF). GTX101844
Anti-Ribosome binding protein 1 antibody [C3], C-term used in IHC (Paraffin sections) (IHC-P). GTX101844
Anti-Ribosome binding protein 1 antibody [C3], C-term used in Immunocytochemistry/ Immunofluorescence (ICC/IF). GTX101844
Anti-Ribosome binding protein 1 antibody [C3], C-term used in Western Blot (WB). GTX101844
  • Host
    Rabbit
  • Clonality
    Polyclonal
  • Isotype
    IgG
  • Applications
    WB ICC/IF IHC-P
  • Reactivity
    Human, Mouse
See all Ribosome binding protein 1 products