S1PR5 / EDG8 antibody [HL4439]

Cat. No. GTX643728
Cat. No.  GTX643728
Anti-S1PR5 / EDG8 antibody [HL4439] used in Immunocytochemistry/ Immunofluorescence (ICC/IF). GTX643728
GTX643728 ICC/IF Image

S1PR5 / EDG8 antibody [HL4439] detects S1PR5 / EDG8 protein by immunofluorescent analysis.
Sample: RT-4 cells were fixed in 4% paraformaldehyde at RT for 15 min.
Green: S1PR5 / EDG8 stained by S1PR5 / EDG8 antibody [HL4439] (GTX643728) diluted at 1:500.
Blue: Fluoroshield with DAPI (GTX30920).

1 / 3
Anti-S1PR5 / EDG8 antibody [HL4439] used in Western Blot (WB). GTX643728
GTX643728 WB Image

Non-transfected (–) and transfected (+) unboiled 293T whole cell extracts (30 μg) were separated by 10% SDS-PAGE, and the membrane was blotted with S1PR5 / EDG8 antibody [HL4439] (GTX643728) diluted at 1:150000. The HRP-conjugated anti-rabbit IgG antibody (GTX213110-01) was used to detect the primary antibody.

2 / 3
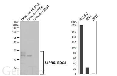
Anti-S1PR5 / EDG8 antibody [HL4439] used in Western Blot (WB). GTX643728
GTX643728 WB Image

Unboiled various whole cell extracts (30 μg) were separated by 10% SDS-PAGE, and the membrane was blotted with S1PR5 / EDG8 antibody [HL4439] (GTX643728) diluted at 1:1000. The HRP-conjugated anti-rabbit IgG antibody (GTX213110-01) was used to detect the primary antibody, and the signal was developed with Trident ECL plus-Enhanced. Corresponding RNA expression data are based on Human Protein Atlas program.

3 / 3
Anti-S1PR5 / EDG8 antibody [HL4439] used in Immunocytochemistry/ Immunofluorescence (ICC/IF). GTX643728
Anti-S1PR5 / EDG8 antibody [HL4439] used in Western Blot (WB). GTX643728
Anti-S1PR5 / EDG8 antibody [HL4439] used in Western Blot (WB). GTX643728
  • Host
    Rabbit
  • Clonality
    Monoclonal
  • Clone Name
    HL4439
  • Isotype
    IgG
  • Applications
    WB ICC/IF
  • Reactivity
    Human
See all S1PR5 / EDG8 products