SAFB2 antibody

Cat. No. GTX64864
Cat. No.  GTX64864
Anti-SAFB2 antibody used in IHC (Paraffin sections) (IHC-P). GTX64864
GTX64864 IHC-P Image

IHC-P analysis of mouse brain tissue using GTX64864 SAFB2 antibody.
Dilution : 1:100

1 / 4
Anti-SAFB2 antibody used in IHC (Paraffin sections) (IHC-P). GTX64864
GTX64864 IHC-P Image

IHC-P analysis of rat brain tissue using GTX64864 SAFB2 antibody.
Dilution : 1:100

2 / 4
Anti-SAFB2 antibody used in Western Blot (WB). GTX64864
GTX64864 WB Image

WB analysis of various sample lysates using GTX64864 SAFB2 antibody.
Dilution : 1:1000
Loading : 25μg per lane

3 / 4
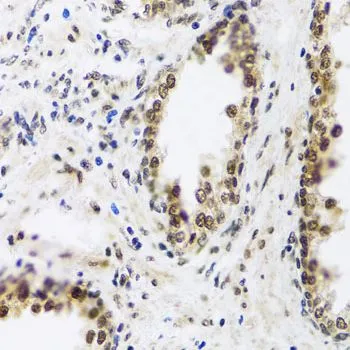
Anti-SAFB2 antibody used in IHC (Paraffin sections) (IHC-P). GTX64864
GTX64864 IHC-P Image

IHC-P analysis of human prostate tissue using GTX64864 SAFB2 antibody.
Dilution : 1:100

4 / 4
Anti-SAFB2 antibody used in IHC (Paraffin sections) (IHC-P). GTX64864
Anti-SAFB2 antibody used in IHC (Paraffin sections) (IHC-P). GTX64864
Anti-SAFB2 antibody used in Western Blot (WB). GTX64864
Anti-SAFB2 antibody used in IHC (Paraffin sections) (IHC-P). GTX64864
  • Host
    Rabbit
  • Clonality
    Polyclonal
  • Isotype
    IgG
  • Applications
    WB IHC-P
  • Reactivity
    Human, Mouse, Rat
See all SAFB2 products