SAMHD1 antibody [1F6]

Cat. No. GTX83687
Cat. No.  GTX83687
Anti-SAMHD1 antibody [1F6] used in Western Blot (WB). GTX83687
GTX83687 WB Image

WB analysis of various samples using GTX83687 SAMHD1 antibody [1F6].
Loading : 10 ug per lane
Dilution : 1:200

1 / 8
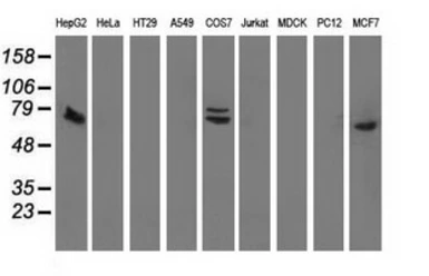
Anti-SAMHD1 antibody [1F6] used in Western Blot (WB). GTX83687
GTX83687 WB Image

WB analysis of various cell lines using GTX83687 SAMHD1 antibody [1F6].
Loading : 35 ug per lane

2 / 8
Anti-SAMHD1 antibody [1F6] used in Flow cytometry (FCM). GTX83687
GTX83687 FCM Image

FACS analysis of HEK293T cells transfected with either SAMHD1 plasmid(Red) or empty vector control plasmid(Blue) using GTX83687 SAMHD1 antibody [1F6].

3 / 8
Anti-SAMHD1 antibody [1F6] used in Immunocytochemistry/ Immunofluorescence (ICC/IF). GTX83687
GTX83687 ICC/IF Image

ICC/IF analysis of COS7 cells transiently transfected with SAMHD1 plasmid using GTX83687 SAMHD1 antibody [1F6].

4 / 8
Anti-SAMHD1 antibody [1F6] used in Flow cytometry (FCM). GTX83687
GTX83687 FCM Image

FACS analysis of HeLa cells using GTX83687 SAMHD1 antibody [1F6].
Red : Primary antibody
Blue : Negative control antibody

5 / 8
Anti-SAMHD1 antibody [1F6] used in Western Blot (WB). GTX83687
GTX83687 WB Image

WB analysis of human tissues (Lane 1-Testis ; Lane 2-Omentum ; Lane 3-Uterus ; Lane 4-Breast ; Lane 5-Brain ; Lane 6-Liver ; Lane 7-Ovary ; Lane 8-Thyroid gland ; Lane 9-colon ; Lane 10-spleen) using GTX83687 SAMHD1 antibody [1F6].
Loading : 10 ug per lane
Dilution : 1:200

6 / 8
Anti-SAMHD1 antibody [1F6] used in Western Blot (WB). GTX83687
GTX83687 WB Image

WB analysis of HEK293T cells transfected with SAMHD1 plasmid (Right) or empty vector (Left) for 48 hrs using GTX83687 SAMHD1 antibody [1F6].
Loading : 5 ug per lane

7 / 8
Anti-SAMHD1 antibody [1F6] used in Western Blot (WB). GTX83687
GTX83687 WB Image

The data was published in the journal Retrovirology in 2013. PMID: 24245672

8 / 8
Anti-SAMHD1 antibody [1F6] used in Western Blot (WB). GTX83687
Anti-SAMHD1 antibody [1F6] used in Western Blot (WB). GTX83687
Anti-SAMHD1 antibody [1F6] used in Flow cytometry (FCM). GTX83687
Anti-SAMHD1 antibody [1F6] used in Immunocytochemistry/ Immunofluorescence (ICC/IF). GTX83687
Anti-SAMHD1 antibody [1F6] used in Flow cytometry (FCM). GTX83687
Anti-SAMHD1 antibody [1F6] used in Western Blot (WB). GTX83687
Anti-SAMHD1 antibody [1F6] used in Western Blot (WB). GTX83687
Anti-SAMHD1 antibody [1F6] used in Western Blot (WB). GTX83687
  • Host
    Mouse
  • Clonality
    Monoclonal
  • Clone Name
    1F6
  • Isotype
    IgG1
  • Applications
    WB ICC/IF FCM
  • Reactivity
    Human, Mouse, Monkey
See all SAMHD1 products