SARS-CoV / SARS-CoV-2 (COVID-19) spike antibody [1A9]
![Anti-SARS-CoV / SARS-CoV-2 (COVID-19) spike antibody [1A9] used in ELISA (ELISA). GTX632604](/upload/website/prouct_img/middle/GTX632604/GTX632604_43936_20200522_ELISA_PAIR_w_23061202_686.webp)
Sandwich ELISA detection of recombinant full-length SARS-CoV-2 spike (trimer) protein using GTX632604 as capture antibody at concentration of 5 μg/mL and GTX635672 as detection antibody at concentration of 1 μg/mL. Rabbit IgG antibody (HRP) (GTX213110-01) was diluted at 1:10000 and used to detect the primary antibody.
![Anti-SARS-CoV / SARS-CoV-2 (COVID-19) spike antibody [1A9] used in Immunocytochemistry/ Immunofluorescence (ICC/IF). GTX632604](/upload/website/prouct_img/middle/GTX632604/GTX632604_42219_20200311_ICC_IF_SARScoronavirus_w_23061202_389.webp)
SARS-CoV / SARS-CoV-2 (COVID-19) spike antibody [1A9] detects SARS-CoV-2 (COVID-19) spike protein by immunofluorescent analysis.Sample: BHK-21 cells transfected with full-length SARS-CoV-2 spike were fixed in 4% paraformaldehyde at RT for 30 min.Green: SARS-CoV-2 (COVID-19) spike stained by SARS-CoV / SARS-CoV-2 (COVID-19) spike antibody [1A9] (GTX632604) diluted at 1:2000.
![Anti-SARS-CoV / SARS-CoV-2 (COVID-19) spike antibody [1A9] used in ELISA (ELISA). GTX632604](/upload/website/prouct_img/middle/GTX632604/GTX632604_44405_20220729_ELISA_Indirect_22080119_897.webp)
Indirect ELISA analysis was performed by coating the plate with recombinant SARS-CoV-2 (COVID-19) Spike (ECD) Protein, Omicron / BA.2.12.1 variant, His tag (GTX137114-pro) (28.62-0.45 nM). Coated protein was probed with the specified SARS-CoV-2 (COVID-19) Spike antibodies (1 μg/mL). Goat anti-rabbit IgG antibody (HRP) (GTX213110-01) (1:10000) or goat anti-mouse IgG antibody (HRP) (GTX213111-01) (1:10000) were used to detect the bound primary antibodies.
![Anti-SARS-CoV / SARS-CoV-2 (COVID-19) spike antibody [1A9] used in ELISA (ELISA). GTX632604](/upload/website/prouct_img/middle/GTX632604/GTX632604_44405_20220923_ELISA_Indirect_Multiple_22092622_834.webp)
Indirect ELISA analysis was performed by coating the plate with recombinant SARS-CoV-2 spike (ECD) trimer, omicron BA.2.75 variant, His tag (GTX137533-pro) (28.62-0.45 nM). Coated protein was probed with SARS-CoV / SARS-CoV-2 (COVID-19) spike antibody [1A9] (the specified SARS-CoV-2 (COVID-19) Spike antibodies) (1 μg/mL). Goat anti-mouse IgG antibody (HRP) (GTX213111-01) (1:10000) was used to detect the bound primary antibody.
![Anti-SARS-CoV / SARS-CoV-2 (COVID-19) spike antibody [1A9] used in ELISA (ELISA). GTX632604](/upload/website/prouct_img/middle/GTX632604/GTX632604_44412_20220610_ELISA_Indirect_Multiple_w_23061202_374.webp)
Indirect ELISA analysis was performed by coating the plate with recombinant SARS-CoV-2 (COVID-19) Spike (ECD) Protein, BA.2 / Omicron variant, His tag (GTX137037-pro) (29.71-0.46 nM). Coated protein was probed with the specified SARS-CoV-2 (COVID-19) Spike antibodies (1 μg/mL). Goat anti-rabbit IgG antibody (HRP) (GTX213110-01) (1:10000) or goat anti-mouse IgG antibody (HRP) (GTX213111-01) (1:10000) were used to detect the bound primary antibodies.
![Anti-SARS-CoV / SARS-CoV-2 (COVID-19) spike antibody [1A9] used in ELISA (ELISA). GTX632604](/upload/website/prouct_img/middle/GTX632604/GTX632604_43936_20200522_ELISA_PAIR_B_w_23061202_775.webp)
Sandwich ELISA detection of non-transfected and SARS-CoV-2 spike (full length) transfected 293T whole cell extracts using GTX632604 as capture antibody at concentration of 5 弮g/mL and GTX135356 as detection antibody at concentration of 1 弮g/mL. Rabbit IgG antibody (HRP) (GTX213110-01) was diluted at 1:10000 and used to detect the primary antibody.
![Anti-SARS-CoV / SARS-CoV-2 (COVID-19) spike antibody [1A9] used in Immunoprecipitation (IP). GTX632604](/upload/website/prouct_img/middle/GTX632604/GTX632604_42219_20200417_IP_B_w_23061202_392.webp)
Immunoprecipitation of SARS-CoV-2 Spike transfected 293T whole cell extracts using 2 μg of SARS-CoV / SARS-CoV-2 (COVID-19) spike antibody [1A9] (GTX632604).
Western blot analysis was performed using SARS-CoV / SARS-CoV-2 (COVID-19) spike antibody [1A9] (GTX632604).
EasyBlot HRP-conjugated anti mouse IgG antibody (GTX221667-01) was used to detect the primary antibody.
![Anti-SARS-CoV / SARS-CoV-2 (COVID-19) spike antibody [1A9] used in Western Blot (WB). GTX632604](/upload/website/prouct_img/middle/GTX632604/GTX632604_42219_20200327_WB_B_w_23061202_732.webp)
Non-transfected (–) and transfected (+) 293T whole cell extracts (30 μg) were separated by 10% SDS-PAGE, and the membrane was blotted with SARS-CoV / SARS-CoV-2 (COVID-19) spike antibody [1A9] (GTX632604) diluted at 1:5000. The HRP-conjugated anti-mouse IgG antibody (GTX213111-01) was used to detect the primary antibody.
![Anti-SARS-CoV / SARS-CoV-2 (COVID-19) spike antibody [1A9] used in ELISA (ELISA). GTX632604](/upload/website/prouct_img/middle/GTX632604/GTX632604_42219_20200422_ELISA_Indirect_w_23061202_271.webp)
Indirect ELISA analysis was performed by coating plate with 50 μL of recombinant SARS-CoV-2 (COVID-19) spike S2 ECD protein at concentrations ranging from 0.0625 μg/mL to 4 μg/mL. The coated protein is detected with SARS-CoV / SARS-CoV-2 (COVID-19) spike antibody [1A9] (GTX632604) at 1 μg/mL. Mouse IgG antibody (HRP) (GTX213111-01) was diluted at 1:10000 and used to detect the primary antibody.
![Anti-SARS-CoV / SARS-CoV-2 (COVID-19) spike antibody [1A9] used in ELISA (ELISA). GTX632604](/upload/website/prouct_img/middle/GTX632604/GTX632604_45805_20250613_ELISA_PAIR_25061901_461.webp)
Sandwich ELISA detection of recombinant SARS-CoV-2 (COVID-19) Spike (ECD) protein, His tag (active) (GTX135972-pro) using antibodies as below. Capture: SARS-CoV / SARS-CoV-2 (COVID-19) spike antibody [1A9] (GTX632604) (5 μg/mL) Detection: SARS-CoV-2 (COVID-19) Spike S2 antibody [HL1038] (GTX635910) (1 μg/mL)
![Anti-SARS-CoV / SARS-CoV-2 (COVID-19) spike antibody [1A9] used in Western Blot (WB). GTX632604](/upload/website/prouct_img/middle/GTX632604/GTX632604_45357_20240322_WB_SARScoronavirus2_B_24112622_535.webp)
Non-transfected (–) and transfected (+) 293T whole cell extracts (30 μg) were separated by 5% SDS-PAGE, and the membrane was blotted with SARS-CoV / SARS-CoV-2 (COVID-19) spike antibody [1A9] (GTX632604) diluted at 1:5000. The HRP-conjugated anti-mouse IgG antibody (GTX213111-01) was used to detect the primary antibody.
![Anti-SARS-CoV / SARS-CoV-2 (COVID-19) spike antibody [1A9] used in Western Blot (WB). GTX632604](/upload/website/prouct_img/middle/GTX632604/GTX632604_44412_20220127_WB_SARScoronavirus2_Ag_24032600_385.webp)
SARS-CoV-2 (COVID-19) Spike (ECD) Protein, B.1.1.529 / Omicron variant, His tag (1 μg, GTX136780-pro) were separated by 12% SDS-PAGE, and the membrane was blotted with SARS-CoV / SARS-CoV-2 (COVID-19) spike antibody [1A9] (GTX632604) diluted at 1:5000. The HRP-conjugated anti-mouse IgG antibody (GTX213111-01) was used to detect the primary antibody.
![Anti-SARS-CoV / SARS-CoV-2 (COVID-19) spike antibody [1A9] used in ELISA (ELISA). GTX632604](/upload/website/prouct_img/middle/GTX632604/GTX632604_44231_20200319_ELISA_PAIR_w_23061202_649.webp)
Sandwich ELISA detection of recombinant SARS-CoV-2 (COVID-19) Spike S2 (T716I, S982A, D1118H Mutant) (ECD) protein, His tag (GTX136023-pro) using SARS-CoV / SARS-CoV-2 (COVID-19) spike antibody [1A9] (GTX632604) as capture antibody at concentration of 5 μg/mL and SARS-CoV-2 (COVID-19) Spike S2 antibody [HL237] (GTX635693) as detection antibody at concentration of 1 μg/mL. Rabbit IgG antibody (HRP) (GTX213110-01) was diluted at 1:10000 and used to detect the primary antibody.
![Anti-SARS-CoV / SARS-CoV-2 (COVID-19) spike antibody [1A9] used in ELISA (ELISA). GTX632604](/upload/website/prouct_img/middle/GTX632604/GTX632604_44231_20200319_ELISA_Indirect_w_23061202_456.webp)
Indirect ELISA analysis performed by coating plate with recombinant full-length SARS-CoV-2 (501.V1) spike protein, SARS-CoV-2 (501.V2) spike protein and SARS-CoV-2 spike protein (4000-62.5 ng/mL). Coated protein was probed with SARS-CoV / SARS-CoV-2 (COVID-19) spike antibody [1A9] (GTX632604) (1 μg/mL). Mouse IgG antibody (HRP) (GTX213110-01) (1:10000) was used to detect bound primary antibody.
![Anti-SARS-CoV / SARS-CoV-2 (COVID-19) spike antibody [1A9] used in ELISA (ELISA). GTX632604](/upload/website/prouct_img/middle/GTX632604/GTX632604_44405_20220211_ELISA_Indirect_w_23061202_310.webp)
Indirect ELISA analysis performed by coating plate with recombinant SARS-CoV-2 (COVID-19) Spike (ECD) Protein, B.1.1.529 / Omicron variant, His tag (GTX136780-pro) (29.71-0.46 nM). Coated protein was probed with SARS-CoV / SARS-CoV-2 (COVID-19) spike antibody [1A9] (GTX632604) (1 μg/mL). Goat anti-mouse IgG antibody (HRP) (GTX213111-01) (1:10000) was used to detect bound primary antibody.
![Anti-SARS-CoV / SARS-CoV-2 (COVID-19) spike antibody [1A9] used in ELISA (ELISA). GTX632604](/upload/website/prouct_img/middle/GTX632604/GTX632604_44231_20210312_ELISA_PAIR_4_w_23061202_676.webp)
Sandwich ELISA detection of recombinant SARS-CoV-2 (COVID-19) Spike S2 (T716I, S982A, D1118H Mutant) (ECD) protein, His tag (GTX136023-pro) and SARS-CoV-2 (COVID-19) Spike S2 (ECD) protein, human IgG Fc tag (GTX01559-pro) using SARS-CoV / SARS-CoV-2 (COVID-19) spike antibody [1A9] (GTX632604) as capture antibody at concentration of 5 μg/mL and SARS-CoV-2 (COVID-19) Spike S2 antibody [HL1039] (GTX635911) as detection antibody at concentration of 1 μg/mL. Rabbit IgG antibody (HRP) (GTX213110-01) was diluted at 1:10000 and used to detect the primary antibody.
![Anti-SARS-CoV / SARS-CoV-2 (COVID-19) spike antibody [1A9] used in ELISA (ELISA). GTX632604](/upload/website/prouct_img/middle/GTX632604/GTX632604_44231_20210312_ELISA_PAIR_3_w_23061202_659.webp)
Sandwich ELISA detection of recombinant SARS-CoV-2 (COVID-19) Spike S2 (T716I, S982A, D1118H Mutant) (ECD) protein, His tag (GTX136023-pro), SARS-CoV-2 (COVID-19) Spike S2 (ECD) protein, mouse IgG Fc tag (GTX135684-pro), and SARS-CoV-2 (COVID-19) Spike S2 (ECD) protein, human IgG Fc tag (GTX01559-pro) using SARS-CoV / SARS-CoV-2 (COVID-19) spike antibody [1A9] (GTX632604) as capture antibody at concentration of 5 μg/mL and SARS-CoV-2 (COVID-19) Spike S2 antibody [HL1038] (GTX635910) as detection antibody at concentration of 1 μg/mL. Rabbit IgG antibody (HRP) (GTX213110-01) was diluted at 1:10000 and used to detect the primary antibody.
![Anti-SARS-CoV / SARS-CoV-2 (COVID-19) spike antibody [1A9] used in Western Blot (WB). GTX632604](/upload/website/prouct_img/middle/GTX632604/GTX632604_42219_20210319_WB_SARScoronavirus2_Ag_w_23061202_514.webp)
SARS-CoV-2 (COVID-19) Spike ( L18F,..., K417N, E484K, N501Y,...)(ECD) Protein, His tag (active) (GTX136061-pro, 0.2 μg) was separated by 12% SDS-PAGE, and the membrane was blotted with SARS-CoV / SARS-CoV-2 (COVID-19) spike antibody [1A9] (GTX632604) diluted at 1:5000. The HRP-conjugated anti-mouse IgG antibody (GTX213111-01) was used to detect the primary antibody.
![Anti-SARS-CoV / SARS-CoV-2 (COVID-19) spike antibody [1A9] used in ELISA (ELISA). GTX632604](/upload/website/prouct_img/middle/GTX632604/GTX632604_44412_20210806_ELISA_Sandwich_w_23061202_192.webp)
Sandwich ELISA detection of recombinant SARS-CoV-2 (COVID-19) Spike S2 (ECD) protein, human IgG Fc tag (GTX01559-pro) using antibodies as below. Capture: SARS-CoV / SARS-CoV-2 (COVID-19) spike antibody [1A9] (GTX632604) (5 μg/mL) Detection: Goat Anti-Human IgG antibody (HRP) (1:200000)
![Anti-SARS-CoV / SARS-CoV-2 (COVID-19) spike antibody [1A9] used in ELISA (ELISA). GTX632604](/upload/website/prouct_img/middle/GTX632604/GTX632604_44174_20210917_ELISA_PAIR_Multiple_w_23061202_720.webp)
Sandwich ELISA detection of recombinant Spike ECD protein(s) derived from different strains of SARS-CoV-2 virus (ie., Wild type; B.1.1.7 alpha variant; B.1.351 beta variant; P.1 gamma variant; B1.617.2 delta variant) using antibodies as below. Capture: SARS-CoV / SARS-CoV-2 (COVID-19) spike antibody [1A9] (GTX632604) (5 μg/mL) Detection: SARS-CoV-2 (COVID-19) Spike RBD antibody [HL1003] (GTX635792) (1 μg/mL)
![Anti-SARS-CoV / SARS-CoV-2 (COVID-19) spike antibody [1A9] used in ELISA (ELISA). GTX632604](/upload/website/prouct_img/middle/GTX632604/GTX632604_44405_20210730_ELISA_Sandwich_w_23061202_474.webp)
Sandwich ELISA detection of recombinant SARS-CoV-2 (COVID-19) Spike S2 (ECD) protein, human IgG Fc tag (GTX01559-pro) using antibodies as below. Capture: SARS-CoV / SARS-CoV-2 (COVID-19) spike antibody [1A9] (GTX632604) (5 μg/mL) Detection: Human IgG antibody (HRP) (1:200000 )
![Anti-SARS-CoV / SARS-CoV-2 (COVID-19) spike antibody [1A9] used in Western Blot (WB). GTX632604](/upload/website/prouct_img/middle/GTX632604/GTX632604_42219_20210205_WB_SARScoronavirus2_Ag_w_23061202_859.webp)
SARS-CoV-2 (COVID-19) Spike (del69-70,del144,N501Y,A570D,D614G,...,D1118H) (ECD) Protein, His tag (GTX136059-pro, 0.25 μg) was separated by 12% SDS-PAGE, and the membrane was blotted with SARS-CoV / SARS-CoV-2 (COVID-19) spike antibody [1A9] (GTX632604) diluted at 1:5000. The HRP-conjugated anti-mouse IgG antibody (GTX213111-01) was used to detect the primary antibody.
![Anti-SARS-CoV / SARS-CoV-2 (COVID-19) spike antibody [1A9] used in ELISA (ELISA). GTX632604](/upload/website/prouct_img/middle/GTX632604/GTX632604_43936_20200430_ELISA_PAIR_B_w_23061202_922.webp)
Sandwich ELISA detection of non-transfected and transfected 293T whole cell extracts using GTX632604 as capture antibody at concentration of 5 μg/mL and GTX135360 as detection antibody at concentration of 1 μg/mL. Rabbit IgG antibody (HRP) (GTX213110-01) was diluted at 1:10000 and used to detect the primary antibody.
![Anti-SARS-CoV / SARS-CoV-2 (COVID-19) spike antibody [1A9] used in ELISA (ELISA). GTX632604](/upload/website/prouct_img/middle/GTX632604/GTX632604_44231_20210521_ELISA_Indirect_w_23061202_217.webp)
Indirect ELISA analysis performed by coating plate with recombinant SARS-CoV-2 (COVID-19) Spike (L18F,..., K417T, E484K, N501Y, D614G,...,V987P)(ECD), His tag (active) (B.1.1.28) (GTX136091-pro) and SARS-CoV-2 (COVID-19) Spike (ECD) protein, His tag (active) (WT) (GTX135972-pro) (4000-62.5 ng/mL). Coated protein was probed with SARS-CoV / SARS-CoV-2 (COVID-19) spike antibody [1A9] (GTX632604) (1 μg/mL). Mouse IgG antibody (HRP) (GTX213111-01) (1:10000) was used to detect bound primary antibody.
![Anti-SARS-CoV / SARS-CoV-2 (COVID-19) spike antibody [1A9] used in Immunocytochemistry/ Immunofluorescence (ICC/IF). GTX632604](/upload/website/prouct_img/middle/GTX632604/GTX632604_44055_20200917_ICC_IF_SARSCoronavirus2_B_w_23061202_406.webp)
SARS-CoV / SARS-CoV-2 (COVID-19) spike antibody [1A9] detects SARS-CoV / SARS-CoV-2 (COVID-19) spike antibody [1A9] protein by immunofluorescent analysis.Sample: Mock and transfected 293T cells were fixed in 4% paraformaldehyde at RT for 15 min.Green:SARS-CoV-2 (COVID-19) spike protein stained by SARS-CoV / SARS-CoV-2 (COVID-19) spike antibody [1A9] (GTX632604) diluted at 1:1000.Blue: Fluoroshield with DAPI (GTX30920).
![Anti-SARS-CoV / SARS-CoV-2 (COVID-19) spike antibody [1A9] used in ELISA (ELISA). GTX632604](/upload/website/prouct_img/middle/GTX632604/GTX632604_43936_20200612_ELISA_PAIR_w_23061202_798.webp)
Sandwich ELISA detection of non-transfected and SARS-CoV-2 spike (full length) transfected 293T whole cell extracts using SARS-CoV / SARS-CoV-2 (COVID-19) spike antibody [1A9] (GTX632604) as capture antibody at concentration of 5 弮g/mL and SARS-CoV-2 (COVID-19) Spike S1 antibody [HL6] (GTX635654) as detection antibody at concentration of 1 弮g/mL. Rabbit IgG antibody (HRP) (GTX213110-01) was diluted at 1:10000 and used to detect the primary antibody.
![Anti-SARS-CoV / SARS-CoV-2 (COVID-19) spike antibody [1A9] used in ELISA (ELISA). GTX632604](/upload/website/prouct_img/middle/GTX632604/GTX632604_44174_20210917_ELISA_PAIR_Multiple_2_w_23061202_320.webp)
Sandwich ELISA detection of recombinant Spike ECD protein(s) derived from different strains of SARS-CoV-2 virus (ie., Wild type; B.1.1.7 alpha variant; B.1.351 beta variant; P.1 gamma variant; B1.617.2 delta variant) using antibodies as below. Capture: SARS-CoV / SARS-CoV-2 (COVID-19) spike antibody [1A9] (GTX632604) (5 μg/mL) Detection: SARS-CoV-2 (COVID-19) Spike S1 antibody [HL13402] (GTX635713) (1 μg/mL)
![Anti-SARS-CoV / SARS-CoV-2 (COVID-19) spike antibody [1A9] used in IHC-P (cell pellet) (IHC-P (cell pellet)). GTX632604](/upload/website/prouct_img/middle/GTX632604/GTX632604_43937_20200515_IHC-P-FL_B_w_23061202_549.webp)
SARS-CoV / SARS-CoV-2 (COVID-19) spike antibody [1A9] detects SARS-CoV-2 (COVID-19) spike protein by immunohistochemical analysis.Sample: Mock (GTX435670) and SARS-CoV-2 (COVID-19) Spike transfected 293T cell FFPE Cell Pellet Block (GTX435640).Red: SARS-CoV-2 (COVID-19) spike stained by SARS-CoV / SARS-CoV-2 (COVID-19) spike antibody [1A9] (GTX632604) diluted at 1:1000.Blue: Fluoroshield with DAPI (GTX30920).Antigen Retrieval: Citrate buffer, pH 6.0, 15 min
![Anti-SARS-CoV / SARS-CoV-2 (COVID-19) spike antibody [1A9] used in ELISA (ELISA). GTX632604](/upload/website/prouct_img/middle/GTX632604/GTX632604_43957_20200717_ELISA_PAIR_w_23061202_903.webp)
Sandwich ELISA detection of recombinant SARS-CoV-2 (COVID-19) Spike S2 (ECD) protein, mouse IgG Fc tag protein (GTX135684-pro) using SARS-CoV / SARS-CoV-2 (COVID-19) spike antibody [1A9] (GTX632604) as capture antibody at concentration of 5 μg/mL and SARS-CoV-2 (COVID-19) Spike S2 antibody [HL237] (GTX635693) as detection antibody at concentration of 1 μg/mL. Rabbit IgG antibody (HRP) (GTX213110-01) was diluted at 1:10000 and used to detect the primary antibody.
![Anti-SARS-CoV / SARS-CoV-2 (COVID-19) spike antibody [1A9] used in ELISA (ELISA). GTX632604](/upload/website/prouct_img/middle/GTX632604/GTX632604_44231_20210507_ELISA_Indirect_w_23061202_855.webp)
Indirect ELISA analysis performed by coating plate with recombinant SARS-CoV-2 (COVID-19) Spike ( L18F,..., K417N, E484K, N501Y,...)(ECD) Protein, His tag (active) (South Africa variant) (GTX136061-pro) and SARS-CoV-2 (COVID-19) Spike (ECD) protein, His tag (active) (GTX135972-pro) (4000-62.5 ng/mL). Coated protein was probed with SARS-CoV / SARS-CoV-2 (COVID-19) spike antibody [1A9] (GTX632604) (1 μg/mL). Mouse IgG antibody (HRP) (GTX213110-01) (1:10000) was used to detect bound primary antibody.
![Anti-SARS-CoV / SARS-CoV-2 (COVID-19) spike antibody [1A9] used in ELISA (ELISA). GTX632604](/upload/website/prouct_img/middle/GTX632604/GTX632604_44174_20210917_ELISA_PAIR_Multiple_3_w_23061202_510.webp)
Sandwich ELISA detection of recombinant Spike ECD protein(s) derived from different strains of SARS-CoV-2 virus (ie., Wild type; B.1.1.7 alpha variant; B.1.351 beta variant; P.1 gamma variant; B1.617.2 delta variant) using antibodies as below. Capture: SARS-CoV / SARS-CoV-2 (COVID-19) spike antibody [1A9] (GTX632604) (5 μg/mL) Detection: SARS-CoV-2 (COVID-19) Spike S1 antibody [HL263] (GTX635672) (1 μg/mL)
![Anti-SARS-CoV / SARS-CoV-2 (COVID-19) spike antibody [1A9] used in ELISA (ELISA). GTX632604](/upload/website/prouct_img/middle/GTX632604/GTX632604_44412_20210910_ELISA_Indirect_w_23061202_410.webp)
Indirect ELISA analysis performed by coating plate with recombinant Spike ECD protein(s) derived from different strains of SARS-CoV-2 virus (ie., Wild type; B1.617.2 delta variant) (29.71-0.46 nM). Coated protein was probed with SARS-CoV / SARS-CoV-2 (COVID-19) spike antibody [1A9] (GTX632604) (1 μg/mL). Goat anti-mouse IgG antibody (HRP) (GTX213111-01) (1:10000) was used to detect bound primary antibody.
![Anti-SARS-CoV / SARS-CoV-2 (COVID-19) spike antibody [1A9] used in ELISA (ELISA). GTX632604](/upload/website/prouct_img/middle/GTX632604/GTX632604_44175_20210104_ELISA_Sandwich_w_23061202_250.webp)
Sandwich ELISA detection of recombinant SARS-CoV-2 (COVID-19) Spike S2 (ECD) protein, human IgG Fc tag (GTX01559-pro) using SARS-CoV / SARS-CoV-2 (COVID-19) spike antibody [1A9] (GTX632604) as capture antibody at concentration of 5 μg/mL and Human IgG antibody (HRP) (1:200000) as detection antibody.
![Anti-SARS-CoV / SARS-CoV-2 (COVID-19) spike antibody [1A9] used in ELISA (ELISA). GTX632604](/upload/website/prouct_img/middle/GTX632604/GTX632604_43957_20200821_ELISA_w_23061202_213.webp)
Sandwich ELISA detection of recombinant full-length SARS-CoV-2 spike (trimer) protein using SARS-CoV / SARS-CoV-2 (COVID-19) spike antibody [1A9] (GTX632604) as capture antibody at concentration of 5 μg/mL and SARS-CoV-2 (COVID-19) Spike RBD antibody (GTX135709) as detection antibody at concentration of 1 μg/mL. Rabbit IgG antibody (HRP) (GTX213110-01) was diluted at 1:10000 and used to detect the primary antibody.
![Anti-SARS-CoV / SARS-CoV-2 (COVID-19) spike antibody [1A9] used in IHC-P (cell pellet) (IHC-P (cell pellet)). GTX632604](/upload/website/prouct_img/middle/GTX632604/GTX632604_43937_20200430_IHC-P-FL_Virus_3_w_23061202_446.webp)
SARS-CoV / SARS-CoV-2 (COVID-19) spike antibody [1A9] detects SARS-CoV / SARS-CoV-2 (COVID-19) spike protein by immunohistochemical analysis.Sample: Paraffin-embedded SARS-CoV-2 (COVID-19) Spike FFPE Cell Pellet Block.Red: SARS-CoV / SARS-CoV-2 (COVID-19) spike stained by SARS-CoV / SARS-CoV-2 (COVID-19) spike antibody [1A9] (GTX632604) diluted at 1:1000.Green: SARS-CoV-2 (COVID-19) spike stained by SARS-CoV-2 (COVID-19) spike antibody (GTX135356) diluted at 1:1000.Blue: Fluoroshield with DAPI (GTX30920).Antigen Retrieval: Citrate buffer, pH 6.0, 15 min
![Anti-SARS-CoV / SARS-CoV-2 (COVID-19) spike antibody [1A9] used in Immunocytochemistry/ Immunofluorescence (ICC/IF). GTX632604](/upload/website/prouct_img/middle/GTX632604/GTX632604_20200430_ICC_IF_SARSCoronavirus2_w_23061202_809.webp)
SARS-CoV / SARS-CoV-2 (COVID-19) spike antibody [1A9] detects SARS-CoV-2 by immunofluorescent analysis.Sample: Vero E6 cells were infected with SARS-CoV-2 (MOI of 1) and fixed with chilled methanol/acetone.Green: SARS-CoV-2 infected Vero E6 cells stained by SARS-CoV / SARS-CoV-2 (COVID-19) spike antibody [1A9] (GTX632604).Blue: Nuclei were counterstained with DAPI.*From Zheng Z, et al. bioRxiv(2020). Shown under license agreement
![Anti-SARS-CoV / SARS-CoV-2 (COVID-19) spike antibody [1A9] used in ELISA (ELISA). GTX632604](/upload/website/prouct_img/middle/GTX632604/GTX632604_44923_20220113_ELISA_PAIR_23011618_626.webp)
Sandwich ELISA detection of recombinant SARS-CoV-2 (COVID-19) Spike (ECD) protein, His tag (active) (GTX135972-pro) using antibodies as below. Capture: SARS-CoV / SARS-CoV-2 (COVID-19) spike antibody [1A9] (GTX632604) (5 μg/mL) Detection: SARS-CoV-2 (COVID-19) Spike S2 antibody [HL1038] (GTX635910) (1 μg/mL)
![Anti-SARS-CoV / SARS-CoV-2 (COVID-19) spike antibody [1A9] used in ELISA (ELISA). GTX632604](/upload/website/prouct_img/middle/GTX632604/GTX632604_44412_20221230_ELISA_Indirect_Multiple_2_23010400_128.webp)
Indirect ELISA analysis was performed by coating the plate with recombinant SARS-CoV-2 (COVID-19) Spike (ECD) Protein, Omicron / BQ.1 variant, His tag (GTX137881-pro) (28.78-0.45 nM). Coated protein was probed with the specified SARS-CoV-2 (COVID-19) Spike antibodies (1 μg/mL). Goat anti-rabbit IgG antibody (HRP) (GTX213110-01) (1:10000) or goat anti-mouse IgG antibody (HRP) (GTX213111-01) (1:10000) was used to detect the bound primary antibody.
![Anti-SARS-CoV / SARS-CoV-2 (COVID-19) spike antibody [1A9] used in ELISA (ELISA). GTX632604](/upload/website/prouct_img/middle/GTX632604/GTX632604_44412_20221230_ELISA_Indirect_Multiple_23010400_205.webp)
Indirect ELISA analysis was performed by coating the plate with recombinant SARS-CoV-2 (COVID-19) Spike (ECD) Protein, Omicron / BF.7 variant, His tag (GTX137880-pro) (28.78-0.45 nM). Coated protein was probed with the specified SARS-CoV-2 (COVID-19) Spike antibodies (1 μg/mL). Goat anti-rabbit IgG antibody (HRP) (GTX213110-01) (1:10000) or goat anti-mouse IgG antibody (HRP) (GTX213111-01) (1:10000) was used to detect the bound primary antibody.
![Anti-SARS-CoV / SARS-CoV-2 (COVID-19) spike antibody [1A9] used in ELISA (ELISA). GTX632604](/upload/website/prouct_img/middle/GTX632604/GTX632604_44405_20220715_ELISA_Indirect_Multiple_22071823_113.webp)
Indirect ELISA analysis was performed by coating the plate with recombinant SARS-CoV-2 (COVID-19) Spike (ECD) Protein, Omicron / BA.4 / BA.5 variant, His tag (GTX137113-pro) (28.78-0.45 nM). Coated protein was probed with the specified SARS-CoV-2 (COVID-19) Spike S1 antibodies (1 μg/mL). Goat anti-rabbit IgG antibody (HRP) (GTX213110-01) (1:10000) or goat anti-mouse IgG antibody (HRP) (GTX213111-01) (1:10000) were used to detect the bound primary antibodies.
![Anti-SARS-CoV / SARS-CoV-2 (COVID-19) spike antibody [1A9] used in Western Blot (WB). GTX632604](/upload/website/prouct_img/middle/GTX632604/GTX632604_20240411_citeab_WB_325_24041501_902.webp)
The data was published in the 2020 in Sci Rep. PMID: 33318562
![Anti-SARS-CoV / SARS-CoV-2 (COVID-19) spike antibody [1A9] used in Immunocytochemistry/ Immunofluorescence (ICC/IF). GTX632604](/upload/website/prouct_img/middle/GTX632604/GTX632604_20240411_citeab_ICCIF_10_24041501_313.webp)
The data was published in the 2022 in Int J Mol Sci. PMID: 35805887
![Anti-SARS-CoV / SARS-CoV-2 (COVID-19) spike antibody [1A9] used in Immunocytochemistry/ Immunofluorescence (ICC/IF). GTX632604](/upload/website/prouct_img/middle/GTX632604/GTX632604_20240411_citeab_ICCIF_9_24041501_822.webp)
The data was published in the 2022 in Int J Mol Sci. PMID: 35805887
![Anti-SARS-CoV / SARS-CoV-2 (COVID-19) spike antibody [1A9] used in ELISA (ELISA). GTX632604](/upload/website/prouct_img/middle/GTX632604/GTX632604_43936_20200522_ELISA_PAIR_w_23061202_686.webp)
![Anti-SARS-CoV / SARS-CoV-2 (COVID-19) spike antibody [1A9] used in Immunocytochemistry/ Immunofluorescence (ICC/IF). GTX632604](/upload/website/prouct_img/middle/GTX632604/GTX632604_42219_20200311_ICC_IF_SARScoronavirus_w_23061202_389.webp)
![Anti-SARS-CoV / SARS-CoV-2 (COVID-19) spike antibody [1A9] used in ELISA (ELISA). GTX632604](/upload/website/prouct_img/middle/GTX632604/GTX632604_44405_20220729_ELISA_Indirect_22080119_897.webp)
![Anti-SARS-CoV / SARS-CoV-2 (COVID-19) spike antibody [1A9] used in ELISA (ELISA). GTX632604](/upload/website/prouct_img/middle/GTX632604/GTX632604_44405_20220923_ELISA_Indirect_Multiple_22092622_834.webp)
![Anti-SARS-CoV / SARS-CoV-2 (COVID-19) spike antibody [1A9] used in ELISA (ELISA). GTX632604](/upload/website/prouct_img/middle/GTX632604/GTX632604_44412_20220610_ELISA_Indirect_Multiple_w_23061202_374.webp)
![Anti-SARS-CoV / SARS-CoV-2 (COVID-19) spike antibody [1A9] used in ELISA (ELISA). GTX632604](/upload/website/prouct_img/middle/GTX632604/GTX632604_43936_20200522_ELISA_PAIR_B_w_23061202_775.webp)
![Anti-SARS-CoV / SARS-CoV-2 (COVID-19) spike antibody [1A9] used in Immunoprecipitation (IP). GTX632604](/upload/website/prouct_img/middle/GTX632604/GTX632604_42219_20200417_IP_B_w_23061202_392.webp)
![Anti-SARS-CoV / SARS-CoV-2 (COVID-19) spike antibody [1A9] used in Western Blot (WB). GTX632604](/upload/website/prouct_img/middle/GTX632604/GTX632604_42219_20200327_WB_B_w_23061202_732.webp)
![Anti-SARS-CoV / SARS-CoV-2 (COVID-19) spike antibody [1A9] used in Western Blot (WB). GTX632604](/upload/website/prouct_img/middle/GTX632604/GTX632604_42219_20200303_WB_SARScoronavirus_w_23061202_228.webp)
![Anti-SARS-CoV / SARS-CoV-2 (COVID-19) spike antibody [1A9] used in ELISA (ELISA). GTX632604](/upload/website/prouct_img/middle/GTX632604/GTX632604_42219_20200422_ELISA_Indirect_w_23061202_271.webp)
![Anti-SARS-CoV / SARS-CoV-2 (COVID-19) spike antibody [1A9] used in ELISA (ELISA). GTX632604](/upload/website/prouct_img/middle/GTX632604/GTX632604_45805_20250613_ELISA_PAIR_25061901_461.webp)
![Anti-SARS-CoV / SARS-CoV-2 (COVID-19) spike antibody [1A9] used in Western Blot (WB). GTX632604](/upload/website/prouct_img/middle/GTX632604/GTX632604_45357_20240322_WB_SARScoronavirus2_B_24112622_535.webp)
![Anti-SARS-CoV / SARS-CoV-2 (COVID-19) spike antibody [1A9] used in Western Blot (WB). GTX632604](/upload/website/prouct_img/middle/GTX632604/GTX632604_44412_20220127_WB_SARScoronavirus2_Ag_24032600_385.webp)
![Anti-SARS-CoV / SARS-CoV-2 (COVID-19) spike antibody [1A9] used in ELISA (ELISA). GTX632604](/upload/website/prouct_img/middle/GTX632604/GTX632604_44231_20200319_ELISA_PAIR_w_23061202_649.webp)
![Anti-SARS-CoV / SARS-CoV-2 (COVID-19) spike antibody [1A9] used in ELISA (ELISA). GTX632604](/upload/website/prouct_img/middle/GTX632604/GTX632604_44231_20200319_ELISA_Indirect_w_23061202_456.webp)
![Anti-SARS-CoV / SARS-CoV-2 (COVID-19) spike antibody [1A9] used in ELISA (ELISA). GTX632604](/upload/website/prouct_img/middle/GTX632604/GTX632604_44405_20220211_ELISA_Indirect_w_23061202_310.webp)
![Anti-SARS-CoV / SARS-CoV-2 (COVID-19) spike antibody [1A9] used in ELISA (ELISA). GTX632604](/upload/website/prouct_img/middle/GTX632604/GTX632604_44231_20210312_ELISA_PAIR_4_w_23061202_676.webp)
![Anti-SARS-CoV / SARS-CoV-2 (COVID-19) spike antibody [1A9] used in ELISA (ELISA). GTX632604](/upload/website/prouct_img/middle/GTX632604/GTX632604_44231_20210312_ELISA_PAIR_3_w_23061202_659.webp)
![Anti-SARS-CoV / SARS-CoV-2 (COVID-19) spike antibody [1A9] used in ELISA (ELISA). GTX632604](/upload/website/prouct_img/middle/GTX632604/GTX632604_44253_20210726_ELISA_PAIR_4_w_23061202_379.webp)
![Anti-SARS-CoV / SARS-CoV-2 (COVID-19) spike antibody [1A9] used in ELISA (ELISA). GTX632604](/upload/website/prouct_img/middle/GTX632604/GTX632604_44253_20210726_ELISA_PAIR_2_w_23061202_310.webp)
![Anti-SARS-CoV / SARS-CoV-2 (COVID-19) spike antibody [1A9] used in Western Blot (WB). GTX632604](/upload/website/prouct_img/middle/GTX632604/GTX632604_42219_20210319_WB_SARScoronavirus2_Ag_w_23061202_514.webp)
![Anti-SARS-CoV / SARS-CoV-2 (COVID-19) spike antibody [1A9] used in ELISA (ELISA). GTX632604](/upload/website/prouct_img/middle/GTX632604/GTX632604_44412_20210806_ELISA_Sandwich_w_23061202_192.webp)
![Anti-SARS-CoV / SARS-CoV-2 (COVID-19) spike antibody [1A9] used in ELISA (ELISA). GTX632604](/upload/website/prouct_img/middle/GTX632604/GTX632604_44174_20210917_ELISA_PAIR_Multiple_w_23061202_720.webp)
![Anti-SARS-CoV / SARS-CoV-2 (COVID-19) spike antibody [1A9] used in IHC (Paraffin sections) (IHC-P). GTX632604](/upload/website/prouct_img/middle/GTX632604/GTX632604_20200827_IHC-P_SARScoronavirus2_HistoWiz_2_w_23061202_320.webp)
![Anti-SARS-CoV / SARS-CoV-2 (COVID-19) spike antibody [1A9] used in ELISA (ELISA). GTX632604](/upload/website/prouct_img/middle/GTX632604/GTX632604_44405_20210730_ELISA_Sandwich_w_23061202_474.webp)
![Anti-SARS-CoV / SARS-CoV-2 (COVID-19) spike antibody [1A9] used in ELISA (ELISA). GTX632604](/upload/website/prouct_img/middle/GTX632604/GTX632604_44253_20210726_ELISA_PAIR_w_23061202_866.webp)
![Anti-SARS-CoV / SARS-CoV-2 (COVID-19) spike antibody [1A9] used in Western Blot (WB). GTX632604](/upload/website/prouct_img/middle/GTX632604/GTX632604_42219_20210205_WB_SARScoronavirus2_Ag_w_23061202_859.webp)
![Anti-SARS-CoV / SARS-CoV-2 (COVID-19) spike antibody [1A9] used in ELISA (ELISA). GTX632604](/upload/website/prouct_img/middle/GTX632604/GTX632604_43936_20200430_ELISA_PAIR_B_w_23061202_922.webp)
![Anti-SARS-CoV / SARS-CoV-2 (COVID-19) spike antibody [1A9] used in ELISA (ELISA). GTX632604](/upload/website/prouct_img/middle/GTX632604/GTX632604_44231_20210521_ELISA_Indirect_w_23061202_217.webp)
![Anti-SARS-CoV / SARS-CoV-2 (COVID-19) spike antibody [1A9] used in Immunocytochemistry/ Immunofluorescence (ICC/IF). GTX632604](/upload/website/prouct_img/middle/GTX632604/GTX632604_44055_20200917_ICC_IF_SARSCoronavirus2_B_w_23061202_406.webp)
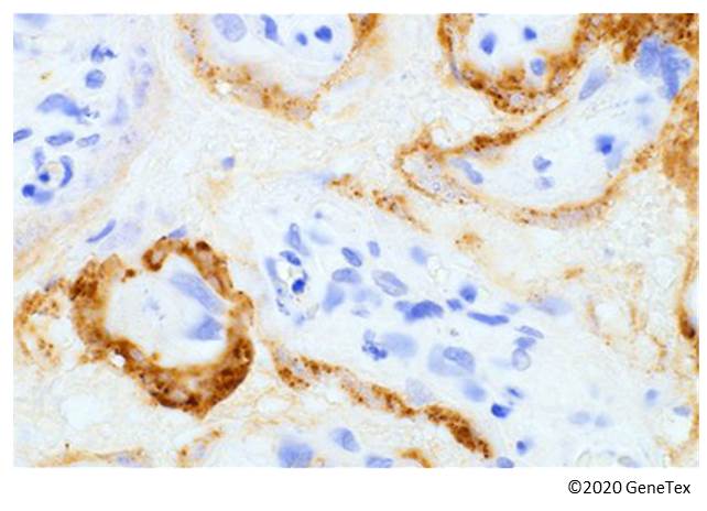
![Anti-SARS-CoV / SARS-CoV-2 (COVID-19) spike antibody [1A9] used in IHC (Paraffin sections) (IHC-P). GTX632604](/upload/website/prouct_img/middle/GTX632604/GTX632604_20200827_IHC-P_SARScoronavirus2_HistoWiz_w_23061202_566.webp)
![Anti-SARS-CoV / SARS-CoV-2 (COVID-19) spike antibody [1A9] used in ELISA (ELISA). GTX632604](/upload/website/prouct_img/middle/GTX632604/GTX632604_43936_20200612_ELISA_PAIR_w_23061202_798.webp)
![Anti-SARS-CoV / SARS-CoV-2 (COVID-19) spike antibody [1A9] used in ELISA (ELISA). GTX632604](/upload/website/prouct_img/middle/GTX632604/GTX632604_44174_20210917_ELISA_PAIR_Multiple_2_w_23061202_320.webp)
![Anti-SARS-CoV / SARS-CoV-2 (COVID-19) spike antibody [1A9] used in IHC-P (cell pellet) (IHC-P (cell pellet)). GTX632604](/upload/website/prouct_img/middle/GTX632604/GTX632604_43937_20200515_IHC-P-FL_B_w_23061202_549.webp)
![Anti-SARS-CoV / SARS-CoV-2 (COVID-19) spike antibody [1A9] used in ELISA (ELISA). GTX632604](/upload/website/prouct_img/middle/GTX632604/GTX632604_43957_20200717_ELISA_PAIR_w_23061202_903.webp)
![Anti-SARS-CoV / SARS-CoV-2 (COVID-19) spike antibody [1A9] used in Flow cytometry (FCM). GTX632604](/upload/website/prouct_img/middle/GTX632604/GTX632604_20200221_FACS_w_23061202_403.webp)
![Anti-SARS-CoV / SARS-CoV-2 (COVID-19) spike antibody [1A9] used in ELISA (ELISA). GTX632604](/upload/website/prouct_img/middle/GTX632604/GTX632604_44231_20210507_ELISA_Indirect_w_23061202_855.webp)
![Anti-SARS-CoV / SARS-CoV-2 (COVID-19) spike antibody [1A9] used in ELISA (ELISA). GTX632604](/upload/website/prouct_img/middle/GTX632604/GTX632604_44174_20210917_ELISA_PAIR_Multiple_3_w_23061202_510.webp)
![Anti-SARS-CoV / SARS-CoV-2 (COVID-19) spike antibody [1A9] used in ELISA (ELISA). GTX632604](/upload/website/prouct_img/middle/GTX632604/GTX632604_44412_20210910_ELISA_Indirect_w_23061202_410.webp)
![Anti-SARS-CoV / SARS-CoV-2 (COVID-19) spike antibody [1A9] used in IHC (Paraffin sections) (IHC-P). GTX632604](/upload/website/prouct_img/middle/GTX632604/GTX632604_20200810_IHC-P_SARSCoronavirus2_Curstomerfeedback_w_23061202_745.webp)
![Anti-SARS-CoV / SARS-CoV-2 (COVID-19) spike antibody [1A9] used in ELISA (ELISA). GTX632604](/upload/website/prouct_img/middle/GTX632604/GTX632604_44175_20210104_ELISA_Sandwich_w_23061202_250.webp)
![Anti-SARS-CoV / SARS-CoV-2 (COVID-19) spike antibody [1A9] used in ELISA (ELISA). GTX632604](/upload/website/prouct_img/middle/GTX632604/GTX632604_43957_20200821_ELISA_w_23061202_213.webp)
![Anti-SARS-CoV / SARS-CoV-2 (COVID-19) spike antibody [1A9] used in ELISA (ELISA). GTX632604](/upload/website/prouct_img/middle/GTX632604/GTX632604_44253_20210726_ELISA_PAIR_3_w_23061202_212.webp)
![Anti-SARS-CoV / SARS-CoV-2 (COVID-19) spike antibody [1A9] used in IHC-P (cell pellet) (IHC-P (cell pellet)). GTX632604](/upload/website/prouct_img/middle/GTX632604/GTX632604_43937_20200430_IHC-P-FL_Virus_3_w_23061202_446.webp)
![Anti-SARS-CoV / SARS-CoV-2 (COVID-19) spike antibody [1A9] used in Immunocytochemistry/ Immunofluorescence (ICC/IF). GTX632604](/upload/website/prouct_img/middle/GTX632604/GTX632604_20200430_ICC_IF_SARSCoronavirus2_w_23061202_809.webp)
![Anti-SARS-CoV / SARS-CoV-2 (COVID-19) spike antibody [1A9] used in ELISA (ELISA). GTX632604](/upload/website/prouct_img/middle/GTX632604/GTX632604_44923_20220113_ELISA_PAIR_23011618_626.webp)
![Anti-SARS-CoV / SARS-CoV-2 (COVID-19) spike antibody [1A9] used in ELISA (ELISA). GTX632604](/upload/website/prouct_img/middle/GTX632604/GTX632604_44412_20221230_ELISA_Indirect_Multiple_2_23010400_128.webp)
![Anti-SARS-CoV / SARS-CoV-2 (COVID-19) spike antibody [1A9] used in ELISA (ELISA). GTX632604](/upload/website/prouct_img/middle/GTX632604/GTX632604_44412_20221230_ELISA_Indirect_Multiple_23010400_205.webp)
![Anti-SARS-CoV / SARS-CoV-2 (COVID-19) spike antibody [1A9] used in ELISA (ELISA). GTX632604](/upload/website/prouct_img/middle/GTX632604/GTX632604_44405_20220715_ELISA_Indirect_Multiple_22071823_113.webp)
![Anti-SARS-CoV / SARS-CoV-2 (COVID-19) spike antibody [1A9] used in Western Blot (WB). GTX632604](/upload/website/prouct_img/middle/GTX632604/GTX632604_20240411_citeab_WB_325_24041501_902.webp)
![Anti-SARS-CoV / SARS-CoV-2 (COVID-19) spike antibody [1A9] used in Immunocytochemistry/ Immunofluorescence (ICC/IF). GTX632604](/upload/website/prouct_img/middle/GTX632604/GTX632604_20240411_citeab_ICCIF_10_24041501_313.webp)
![Anti-SARS-CoV / SARS-CoV-2 (COVID-19) spike antibody [1A9] used in Immunocytochemistry/ Immunofluorescence (ICC/IF). GTX632604](/upload/website/prouct_img/middle/GTX632604/GTX632604_20240411_citeab_ICCIF_9_24041501_822.webp)
-
HostMouse
-
ClonalityMonoclonal
-
Clone Name1A9
-
IsotypeIgG1
-
ApplicationsWB ICC/IF IHC-P IHC-Fr FCM IP ELISA EM Sandwich ELISA IHC-P (cell pellet)
-
ReactivitySARS Coronavirus, SARS Coronavirus 2