SART3 antibody [C3], C-term

Cat. No. GTX107684
Cat. No.  GTX107684
Anti-SART3 antibody [C3], C-term used in Western Blot (WB). GTX107684
GTX107684 WB Image

Various whole cell extracts (30 μg) were separated by 7.5% SDS-PAGE, and the membrane was blotted with SART3 antibody [C3], C-term (GTX107684) diluted at 1:1000. The HRP-conjugated anti-rabbit IgG antibody (GTX213110-01) was used to detect the primary antibody. Corresponding RNA expression data for the same cell lines are based on Human Protein Atlas program.

1 / 5
Anti-SART3 antibody [C3], C-term used in Immunoprecipitation (IP). GTX107684
GTX107684 IP Image

SART3 antibody [C3], C-term immunoprecipitates SART3 protein in IP experiments.
IP samples: HepG2 whole cell extract
A. Control with 4 μg of preimmune Rabbit IgG
B. Immunoprecipitation of SART3 protein by 4 μg SART3 antibody [C3], C-term (GTX107684)
5 % SDS-PAGE
The immunoprecipitated SART3 protein was detected by SART3 antibody [C3], C-term (GTX107684) diluted at 1:2000.
[EasyBlot anti-rabbit IgG (GTX221666-01) was used as a secondary reagent]

2 / 5
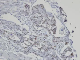
Anti-SART3 antibody [C3], C-term used in IHC (Paraffin sections) (IHC-P). GTX107684
GTX107684 IHC-P Image

Immunohistochemical analysis of paraffin-embedded NCI-N87 xenograft, using SART3 (GTX107684) antibody at 1:100 dilution.
Antigen Retrieval: Trilogy™ (EDTA based, pH 8.0) buffer, 15min

3 / 5
Anti-SART3 antibody [C3], C-term used in Immunocytochemistry/ Immunofluorescence (ICC/IF). GTX107684
GTX107684 ICC/IF Image

Immunofluorescence analysis of paraformaldehyde-fixed HeLa, using SART3(GTX107684) antibody at 1:200 dilution.

4 / 5
Anti-SART3 antibody [C3], C-term used in Western Blot (WB). GTX107684
GTX107684 WB Image

Various whole cell extracts (30 μg) were separated by 7.5% SDS-PAGE, and the membrane was blotted with SART3 antibody [C3], C-term (GTX107684) diluted at 1:1000. The HRP-conjugated anti-rabbit IgG antibody (GTX213110-01) was used to detect the primary antibody.

5 / 5
Anti-SART3 antibody [C3], C-term used in Western Blot (WB). GTX107684
Anti-SART3 antibody [C3], C-term used in Immunoprecipitation (IP). GTX107684
Anti-SART3 antibody [C3], C-term used in IHC (Paraffin sections) (IHC-P). GTX107684
Anti-SART3 antibody [C3], C-term used in Immunocytochemistry/ Immunofluorescence (ICC/IF). GTX107684
Anti-SART3 antibody [C3], C-term used in Western Blot (WB). GTX107684
  • Host
    Rabbit
  • Clonality
    Polyclonal
  • Isotype
    IgG
  • Applications
    WB ICC/IF IHC-P IP
  • Reactivity
    Human
See all SART3 products