SATB1 antibody [6C6]

Cat. No. GTX83685
Cat. No.  GTX83685
Anti-SATB1 antibody [6C6] used in Immunocytochemistry/ Immunofluorescence (ICC/IF). GTX83685
GTX83685 ICC/IF Image

ICC/IF analysis of COS7 cells transiently transfected with SATB1 plasmid using GTX83685 SATB1 antibody [6C6].

1 / 3
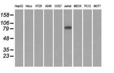
Anti-SATB1 antibody [6C6] used in Western Blot (WB). GTX83685
GTX83685 WB Image

WB analysis of various cell lines using GTX83685 SATB1 antibody [6C6].
Loading : 35 ug per lane

2 / 3
Anti-SATB1 antibody [6C6] used in Western Blot (WB). GTX83685
GTX83685 WB Image

WB analysis of HEK293T cells transfected with SATB1 plasmid (Right) or empty vector (Left) for 48 hrs using GTX83685 SATB1 antibody [6C6].
Loading : 5 ug per lane

3 / 3
Anti-SATB1 antibody [6C6] used in Immunocytochemistry/ Immunofluorescence (ICC/IF). GTX83685
Anti-SATB1 antibody [6C6] used in Western Blot (WB). GTX83685
Anti-SATB1 antibody [6C6] used in Western Blot (WB). GTX83685
  • Host
    Mouse
  • Clonality
    Monoclonal
  • Clone Name
    6C6
  • Isotype
    IgG1
  • Applications
    WB ICC/IF
  • Reactivity
    Human
See all SATB1 products