SATB1 antibody

Cat. No. GTX114737
Cat. No.  GTX114737
Anti-SATB1 antibody used in Western Blot (WB). GTX114737
GTX114737 WB Image

SATB1 antibody detects SATB1 protein by western blot analysis. Whole cell extracts (30 μg) was separated by 7.5 % SDS-PAGE, and blotted with SATB1 antibody (GTX114737) diluted by 1:500

1 / 7
Anti-SATB1 antibody used in Western Blot (WB). GTX114737
GTX114737 WB Image

Various tissue extracts (50 μg) were separated by 7.5% SDS-PAGE, and the membrane was blotted with SATB1 antibody (GTX114737) diluted at 1:500. The HRP-conjugated anti-rabbit IgG antibody (GTX213110-01) was used to detect the primary antibody.

2 / 7
Anti-SATB1 antibody used in Western Blot (WB). GTX114737
GTX114737 WB Image

Mouse tissue extract (50 μg) was separated by 7.5% SDS-PAGE, and the membrane was blotted with SATB1 antibody (GTX114737) diluted at 1:5000. The HRP-conjugated anti-rabbit IgG antibody (GTX213110-01) was used to detect the primary antibody.

3 / 7
Anti-SATB1 antibody used in IHC (Paraffin sections) (IHC-P). GTX114737
GTX114737 IHC-P Image

SATB1 antibody detects SATB1 protein at nucleus on mouse fore brain by immunohistochemical analysis.
Sample: Paraffin-embedded mouse fore brain.
SATB1 antibody (GTX114737) dilution: 1:500.

Antigen Retrieval: Trilogy™ (EDTA based, pH 8.0) buffer, 15min

4 / 7
Anti-SATB1 antibody used in IHC (Paraffin sections) (IHC-P). GTX114737
GTX114737 IHC-P Image

Immunohistochemical analysis of paraffin-embedded TOV-21G xenograft, using SATB1(GTX114737) antibody at 1:500 dilution.
Antigen Retrieval: Trilogy™ (EDTA based, pH 8.0) buffer, 15min

5 / 7
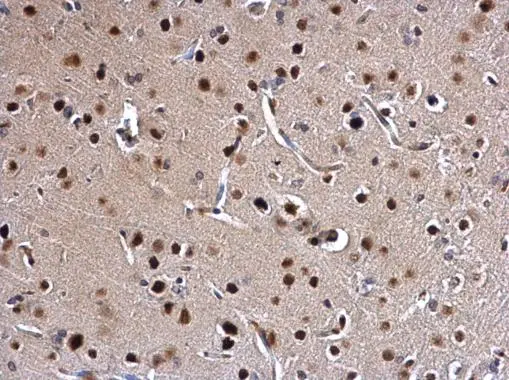
Anti-SATB1 antibody used in IHC (Paraffin sections) (IHC-P). GTX114737
GTX114737 IHC-P Image

SATB1 antibody detects SATB1 protein at nucleus on rat middle brain by immunohistochemical analysis.
Sample: Paraffin-embedded rat middle brain.
SATB1 antibody (GTX114737) dilution: 1:500.

Antigen Retrieval: Trilogy™ (EDTA based, pH 8.0) buffer, 15min

6 / 7
Anti-SATB1 antibody used in Western Blot (WB). GTX114737
GTX114737 WB Image

SATB1 antibody detects SATB1 protein by western blot analysis. Whole cell extracts (30 μg) was separated by 7.5 % SDS-PAGE, and blotted with SATB1 antibody (GTX114737) diluted by 1:500

7 / 7
Anti-SATB1 antibody used in Western Blot (WB). GTX114737
Anti-SATB1 antibody used in Western Blot (WB). GTX114737
Anti-SATB1 antibody used in Western Blot (WB). GTX114737
Anti-SATB1 antibody used in IHC (Paraffin sections) (IHC-P). GTX114737
Anti-SATB1 antibody used in IHC (Paraffin sections) (IHC-P). GTX114737
Anti-SATB1 antibody used in IHC (Paraffin sections) (IHC-P). GTX114737
Anti-SATB1 antibody used in Western Blot (WB). GTX114737
  • Host
    Rabbit
  • Clonality
    Polyclonal
  • Isotype
    IgG
  • Applications
    WB IHC-P
  • Reactivity
    Human, Mouse, Rat
See all SATB1 products